Teeth restoration
Price of Tooth Restoration
WHAT IS AESTHETIC DENTAL RESTORATION?
Restoration is a technique to restore and improve teeth shape, color, and function with a composite (photopolymer). The dentist applies it to the prepared tooth in layers directly in the patient’s mouth. This type of restoration is called direct composite restoration.
This concept is broader because aesthetic dental work involves indirect ceramic restorations created in the laboratory manually and digital modeling and manufacturing systems.
Depending on the desired result, occlusal characteristics, initial state of the teeth, direct and indirect restoration methods are used.
WHEN TO CONSIDER A DENTAL RESTORATION?
Suppose the tooth is damaged by cavities, erosion, abrasion, crumbling, trauma, or another significant defect. For example, it needs replacing an old restoration or modification to conform with objective aesthetic parameters. In short, restoration is required when a tooth has a defect that impairs its function, aesthetics or that can lead to decay.
Any restoration aims to restore the functionality and aesthetics of teeth, prolong vitality and service life. Therefore, we strive to use all the best-known today respective techniques. The dental microscope facilitates the complete cleaning of the tooth from the signs of decay before restoration while allowing for a more gentle preparation.
DENTAL RESTORATION METHODS
There are two basic dental restoration methods for aesthetic restoration in dental therapy: direct and indirect methods.
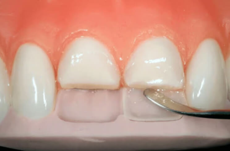
In the first case, it is assumed that the crown part of the tooth will be augmented with light-cured composites directly in the patient’s mouth.
In the second case, unique fixtures created according to individual casts in the laboratory are used. Indirect restoration includes restoration methods such as stumps, veneers, crowns, etc.
DIRECT DENTAL RESTORATION: WHAT IS IT?
Direct restorations can be placed during a single appointment directly into the patient’s mouth.
The technique is used mainly in the frontal incisors region and other teeth less loaded during mastication. To achieve high aesthetic results and efficiency, the doctor must have relevant experience. It is the optimal choice of methods, materials, and an adequate assessment in determining the restoring technique of the tooth’s integrity that provides the expected result.
The restoration’s success is achieved by applying a composite material, followed by the veneer plate’s fabrication, adhesive structures, and other forms. Direct restoration allows the restoration of partially lost teeth located along the smile line. Most often, photopolymers are used to restore the integrity of the tooth.
Innovative approaches allow restoring a tooth, even if the coronal plane is destroyed by more than one-third. An essential condition in this case is preserving the dental root and the absence of pathologies of the gingival tissue in the restoration area.
Relative contraindications – bruxism, permanent wear due to malocclusion, cavities. However, the restoration can be carried out after the appropriate treatment.
HOW DOES DIRECT DENTAL RESTORATION WORK?
The procedure is carried out in one visit with high-quality light-curing materials by a specialized therapist.
The tooth restoration process includes several main stages:
- preparation – hygienic cleaning of teeth, selection of polymer color, anesthesia;
- preparation of an affected area or defect within healthy tissues;
- isolation of the restored tooth from other teeth and saliva during manipulation using rubber dam;
- placement of the most transparent fiberglass pin (if necessary);
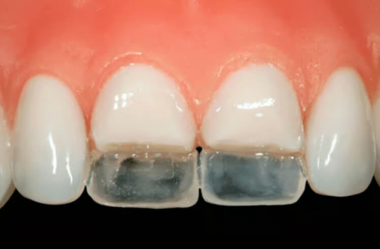
- modeling of the crown part of the tooth by layer-by-layer application of a composite material;
- grinding and polishing of a new tooth.
TYPES OF AESTHETIC TEETH RESTORATION




HOW IS DIRECT AESTHETIC RESTORATION PERFORMED?
Direct restoration requires the use of composite materials. They are applied layer by layer, modeled, and harden on the tooth exposed to a dental curing light.
The correct approach to restoration means that for the anterior teeth, where the material’s optical properties are most important, a universal hybrid composite that is optimal in terms of color and transparency will be used.
While for the chewing teeth, a specially designed composite with high strength should be used.
Direct composite restoration is currently the most common single visit dental restoration.
Restoration of Anterior Teeth
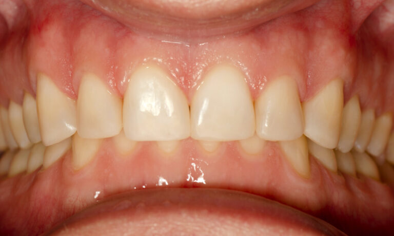
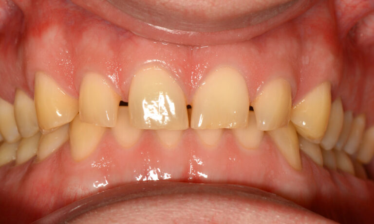
Anterior teeth have the most impact on the aesthetics of a smile. You can perform the restoration procedure in the presence of chips, abrasion, or other deformations. The abundance of methods allows restoring a tooth with any amount of intact tissues.
The method is selected based on the quality and quantity of tissues. With the complete removal of the root, an implantation operation is available. It allows returning the chewing function and prevents bite shift. Ceramic veneers are used for a perfect smile. Reconstruction with composite materials helps restore without losing healthy tissue.
Direct composite restorations of anterior teeth may require just one single visit to the dentist. First, the doctor selects the appropriate shade. Then, if the tissues are damaged, treatment is performed. Depending on the state of integrity of the tooth crown, the root is sometimes strengthened with a pin. Composite materials help correct the shape. The final step is grinding and polishing.
Further information about the restoration of the front teeth can be found here.
Posterior Composite Restoration
When building up posterior teeth, not only the aesthetic component is essential, but also the functional one. The quality of the composite restoration must be high for many reasons, as the teeth experience significant stress.
Composite restoration is available in the following cases:
- part of the tissues is missing;
- there are small chips;
- there are signs of abrasion;
- a gap between teeth.
It would be best if you were careful or even cancel the visit in case of the following contraindications:
- pathological grinding, bruxism;
- pregnancy;
- a patient with a pacemaker;
- inflammatory processes.
After the procedure, the following recommendations should be followed:
- Avoid eating for three hours after the procedure.
- Limit the use of hot and cold food.
- It is worth giving up solid food to maintain integrity: cracking candies and crackers.
- Do not drink tea, coffee and other food that can stain the enamel and composite material.
- To maintain an optimal level of acidity, rinse your mouth after eating apples, lemons and other acidic foods.
Visiting the dentist every six months is essential for a preventive examination. In addition, professional cleaning should be performed during the appointment. Also, to preserve the original appearance of the teeth, it is necessary to repolish the restoration.
How long does a dental restoration last?
Aesthetic restoration with proper care lasts up to fifteen years. It can last that long when performing regular correction and surface polishing. The quality of personal oral care routine also affects. If the rules of oral hygiene are not followed, the composite will last only three to five years.
HOW IS INDIRECT AESTHETIC RESTORATION PERFORMED?
Indirect restorations are manufactured in the laboratory and are ready to be placed. The material is modern one-piece ceramics, which is outwardly indistinguishable from the natural tooth. Simultaneously, the options vary from the smallest and thinnest – ceramic fillings, veneers, onlays, to the restorations covering several tooth surfaces – partial crowns (overlays) and full crowns.
The peculiarity of this type of restorations is exceptional accuracy, durability, no shrinkage of the material, and over time, there is no color and gloss change.
DENTAL RESTORATION VS. VENEERS
Direct restoration is convenient because, as a rule, it is performed in one visit, and you immediately get a simple solution to the aesthetic issue. It is a cost-effective and durable solution for most basic conditions.
The advantage of ceramic veneers is selecting the nuances of their future shape, excellent durability, and service life. Besides, ceramics are not subject to discoloration and gloss loss. Another benefit is the ability to hide intense discoloration of the abutment teeth.
DIRECT OR INDIRECT DENTAL RESTORATION: WHICH ONE TO CHOOSE?
When a tooth has a small defect, it did not undergo root canal treatment, and it does not bear the main chewing load, the choice in favor of a direct composite restoration is evident.
In other cases, a monolithic ceramic restoration is worth considering since the more extensive the restoration volume, the greater the shrinkage of the material itself and the more noticeable the external effect on it will be when chewing.
WHAT ARE INDIRECT TOOTH RESTORATIONS?
The indirect method or placement of a specific inlay core is one of the methods of microprosthetics. The method is recommended if it is too late to place a filling due to significant tooth decay and too early to fix the crown – if the root system is intact. The product is manufactured in the laboratory by the individual casts.
Crowns Placement
In case of severe destruction of the crown part of the tooth or its root, aesthetic restoration is not enough. In this case, prosthetics are performed with a single crown or a stump or implant-supported bridge.
When it comes to restoring anterior teeth, aesthetics is crucial. For this reason, patients more often choose ceramic crowns as a base and veneers due to highly aesthetic materials. Such crowns are durable, and the tooth can be restored directly. The service life of ceramic crowns reaches 10-15 years.
All-ceramic crowns
All-ceramic crowns are the most aesthetically satisfying due to the translucency created by ceramic coating lamination. Such products are somewhat inferior to the porcelain fused to metal crown durability, but they resemble natural teeth and, in some cases, shine brighter than natural teeth.
Today, there are quality e.max Press ceramic products applying modern CAD/CAM technologies available on the market. The service life of such structures is more than 15 years. Translucency, strength, and visual naturalness make dentures popular with patients.
Implantation
It is an innovative method of restoring the dentition requiring implantation of a titanium post into the bone tissue. The post mimics the natural tooth’s root. Later, an abutment and a crown or bridge are installed on it. Modern implantation methods are ideal even for edentulous patients.
Implant systems provide reliable prosthetics with fixed or overdenture restoration. Manufacturers promise a lifetime warranty on their products.
Implantation is one of the most effective teeth restoration methods. What is better to choose – implantation or prosthetics can be found here.
Installation of Veneers
Veneers are aesthetic overlays for teeth with visibly damaged enamel, including chips, yellowness, microcracks, and other defects. Besides, veneers or thinner lumineers can solve the problem of slight teeth curvature. Custom-made ceramic overlays are individually manufactured in the laboratory. The term of production is about 5-14 days. Lumineers take a longer time to be manufactured.
Veneers solve a wide range of problems associated with insufficient smile attractiveness or the desire for cosmetic improvements in dental appearance.
In addition to ceramic overlays, veneers can also be made of composite material. In this case, the tooth’s surface is coated in layers directly in the patient’s mouth. In fact, the method of veneering with a composite material is the same direct method of aesthetic restoration but overlapping the enamel outer surface.
Further information about composite veneers can be found here.
Zirconium
Zirconium crowns meet modern quality and beauty criteria. Zirconium products are durable, aesthetic, with a service life of more than 15 years.
A single crown can be anchored to the coronal part of the tooth or a fiberglass post. Sometimes a zirconium crown is fixed on the stump tab, provided that the tooth is completely destroyed. If the root is missing or needs extraction, the crowns are placed on the implant.
How Long Do Restorations Last?
The service life of dental restorations depends on the material type. On average, it is:
- 10-20 years for fillings;
- 10-15 years for lumineers;
- 15-20 years for veneers;
- 15-25 years for crowns, onlays.
If you follow all the doctor’s recommendations, practice good oral hygiene, quit smoking, then the service life of the restored teeth will not be reduced.
Before restoration, dental examination, cleaning and treatment are performed. If this is not done, teeth can decay under masking composites. Then it will require opening and proper treatment. Subsequent restoration can be more expensive.
Your guide to beginning extensive treatment before smile restoration.
Aesthetic restoration of teeth
Aesthetic restoration of teeth is a popular method of teeth restoration in Kyiv. The Clinic of Aesthetic Dentistry offers innovative solutions, helping patients choose the ideal correction method. Investing in the beauty of a smile is not only about external aesthetics. A beautiful smile means health and confidence.
FAQ
Is it true that fillings on front teeth discolor over time, but veneers do not?
Yes, composite materials lose particles over time, and pigments get into empty micro-spaces.
What are the methods for composite veneer manufacturing?
Composite veneers are made directly in the office by the dentist.
A simpler method is for the doctor to apply composite material layer by layer directly to the tooth, after which it is polished.
We also use the injection method of veneer fabrication.
Once the teeth’ shape has been pre-approved, a transparent mouth guard with small openings for the injection of liquid composite is made.
Can composite veneers chip or break?
If dental veneers are placed appropriately, this will not happen. In addition, it should be stressed that the breakage of dental veneers depends mainly on the patient’s eating habits. Grinding your teeth, biting your nails, and biting tough food can cause the veneers to break.
How long do composite veneers last?
Several conditions must be fulfilled to keep veneers long, such as brushing after every meal, flossing, and timely professional cleaning and polishing in the dental office.



