A tooth chipping is a traumatic damage to the dental crown. The clinical picture depends on the depth of the injury and exposure of the internal dental tissues. Usually, patients complain of pain and hypersensitivity due to temperature and food factors.
When the enamel is damaged, the sensitivity after eating hot or cold food increases. If the fracture goes deeper and runs up to the pulp or exposes the nerve, constant throbbing pain occurs. In any case, it is recommended to consult a dentist to get appropriate dental treatment.
Cracked Tooth Classification

There are several types of chips classified by the degree of destruction helping to assess clinical severity:
- Chipped enamel layer. The top layer of the enamel is damaged. Sometimes it can be invisible, but if left untreated, it leads to complications. The main symptoms are associated with tooth hypersensitivity to hot or cold temperatures. In addition, enamel chipping reduces the aesthetics of the dentition and can lead to more profound injuries.
- Dentin cracks. Moderate dental damage exposing internal tissues of the tooth. The trauma is visually noticeable and is typical mainly to the smile line teeth. Patients complain of severe toothache, which is relieved by analgesics. Over time, the dentin becomes inflamed, and the tooth destabilizes.
- Tooth fracture. The trauma involves pulp damage. The main symptoms are pain, inflammation, and bleeding. The treatment strategy depends on the stage of tissue damage. Sometimes restorative treatment is enough; in some cases, the patient needs surgery or implantation.

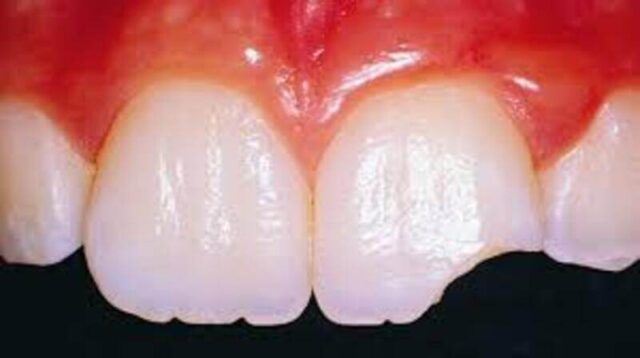
What To Do if You Have Chipped a Tooth photo
Cracked Wisdom Tooth
The “eights” differ by a complex location and often a curved root canal system. Wisdom teeth usually need an extraction since they do not function properly in the chewing process and do not affect the function of the maxillofacial apparatus. Usually, in the case of carious lesions and cracks, tooth extraction is performed. There is no need for prosthetics.
Lateral Incisors
The process of teeth restoration and cracks treatment is similar to central teeth restoration. Considering that the distal surface of posterior teeth is not visible, traditional fillings are used for crown integrity restoration. Usually, doctors apply crown build-up. If the neurovascular bundle is damaged, the pulp is removed. If it is impossible to restore teeth, patients need extraction followed by implantation or another type of prosthetics.
Baby Teeth
When deciduous teeth are chipped, it is essential to assess the degree of damage and clinical picture. It is a mistake to believe that baby teeth do not need treatment. Dentist consultation is also required in pain, swelling or bleeding of the gums in the affected area. One of the treatment options is aesthetic restoration with composite material, preparation and filling. In case of significant tooth injury with the root canal system damage, the milk tooth is extracted.

What To Do if You Have Chipped a Tooth photo
A Piece of Tooth Chipped off at the Gum Line: How Do You Know It?
There is a difference between the chipped teeth and other injuries or certain diseases with similar symptoms. The main difference is the wedge-shaped defect. This pathology develops in case of malocclusion or prolonged periodontal disease. Therefore, chipping at the gum line should be differentiated from the long-term consequences of the wedge-shaped defect.
Any tooth injury requires observation and treatment. Slight chipping does not lead to tooth loss but can result in enamel damage and further tooth cracking.
Why Can a Tooth Fracture Occur?

Tooth injury does not only occur after a hit and fall. Experts identify several main causes:
- Malocclusion. Most often, tooth cracks develop in case of a cross or mesial bite. In addition, when a front tooth breaks off, the situation can be worsened in case of bruxism – the nocturnal teeth grinding.
- Cavities. Chips can develop due to cavities.
- Defects of the filling. Failure to comply with filling procedure, insufficient preparation, low-quality materials reduce the level of sealing, contribute to the development of secondary caries.
Bad habits, the habit of munching on nuts, crackers, seeds can contribute to tooth fracture. In addition, in children, cracks can appear due to hard objects of nail-biting.

What To Do if You Have Chipped a Tooth photo
A Piece of the Front Tooth has Chipped Off: What to Do?
First aid is of great importance, especially when pain or an inflammatory process occu. Rinse your mouth with water to remove food debris. Only professional treatment in the clinic is indicated.
The strategies of treating patients with chipped teeth depend on the degree of damage and the nature of the injury. The dentist’s task is to restore the crown part of the tooth and the functionality of the dentition. Cavities and further tooth decay can be prevented if you visit a dentist timely. Treatment methods in various clinical cases:
- Small crack. It is enough to carry out fluoride remineralization to protect the enamel and prevent further tooth decay. Sometimes, sharp edges are polished before restorative procedures.
- Moderate chip. Usually, in this case, we talk about the aesthetic restoration of the tooth.
- Tooth fracture. Treatment includes pulp removal before restoration.
A Piece of Tooth Broke off Around the Filling: Complications

- malocclusion – the absence or dysfunction of a part of the dentition leads to the displacement of healthy teeth toward the defect area;
- hypersensitivity of the enamel, especially when dentin and deeper layers of the tooth are involved in the injury;
- development of pulpitis and periodontitis
The primary prevention is proper routine, balanced nutrition, timely treatment of diseases of internal organs and systems, thorough oral hygiene and lack of bad habits. Sooner or later, slight chips lead to the destruction of the dental tissue structures and more complex pathologies.
The forecast for chipped teeth is favourable. However, the long-term consequences of the problem lead to the loss of teeth and the need for expensive medical procedures.

(680)
