Teeth extraction
Price of Tooth Extraction
When is tooth extraction necessary?
Preserving natural teeth is the most crucial goal for dentists. Thus, tooth extraction is performed mainly in cases where there are no alternative treatment options.
There are absolute and relative indications for tooth extraction.
Absolute Indications for Tooth extraction:
- The tooth is extremely mobile (grade 3 of tooth mobility), and tissue regeneration around the tooth is not expected.
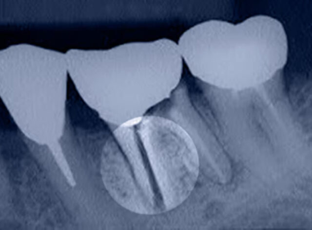
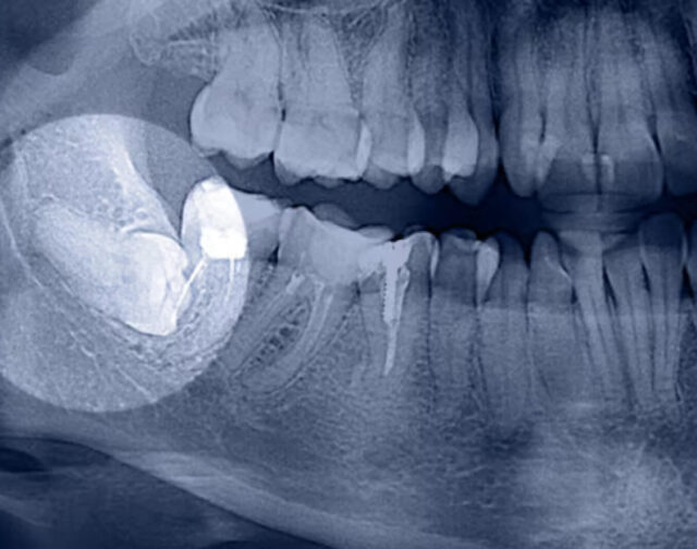
- Longitudinal tooth root fracture.
- Incorrect tooth position, as is often the case with wisdom teeth or lack of space, and orthodontic methods cannot correct this.
- Supernumerary teeth, especially if they prevent the eruption of permanent teeth.

Relative Indications for Tooth extraction:
- Progressive loss of hard tooth tissues (enamel, dentin), without long-term prognosis for preserving the tooth with a filling or crown.
- The patient refuses to treat the tooth that bothers.
- The patient cannot financially afford the cost of any dental preservation measures (e.g., a crown).
- There is a discrepancy between the tooth and the jaw’s size, so not all teeth find enough space: Extraction therapy as part of orthodontic treatment.
- Compensatory extraction, when a tooth is missing on the opposite side of the jaw, while displacement of the centerline should be avoided (for example, tooth 35 is missing: tooth 45 must be extracted to compensate for tooth displacement).

Types of Anesthesia for Tooth extraction
Before tooth extraction, anesthesia is performed.
Anesthesia of the upper jaw
In tooth extraction in the upper jaw, infiltration anesthesia is usually performed (injection around the tooth with a local anesthetic). The effect of anesthesia usually begins after one minute and reaches its maximum after 20 minutes. The tooth can be extracted after 3 minutes.
Anesthesia of the lower jaw
On the lower jaw, we perform conduction anesthesia to block the lower alveolar nerve. Conductive anesthesia usually lasts 2 to 3 hours but sometimes can last much longer.
Intraligamentary anesthesia
Another option is intraligamentary anesthesia, which is suitable for the extraction of teeth, both in the lower and upper jaw. The anesthetic medicine is injected into the periodontal ligament using a thin (0.3 mm) needle. Since a very high pressure is required, we use a special syringe (e.g., Citoject syringe or Soft-Ject syringe). Each tooth root requires at least one puncture. The anesthetic solution penetrates the tooth ligament to the tooth root’s tip and numbs the nerve fibers entering the pulp. With intraligamentary anesthesia, less anesthetic is administered to the tooth as a whole, which is especially important for patients with a high risk of hypertension.
Extraction of teeth under intravenous sedation
Unlike the local anesthetic method described above, general anesthesia produces an absence of consciousness. If you are not sure if general anesthesia is right for you, you can get a personal consultation at our clinic.
How long does the extraction take?
After anesthesia comes, the tooth is extracted. Tooth extraction usually takes from a few seconds to half an hour, depending on the procedure’s complexity.
A typical side effect for extraction is bleeding from damaged gingival and bone vessels. Pressing on a sterile swab for 30 minutes is usually sufficient to stop bleeding. The resulting blood clot (coagulum) in the socket is an ideal dressing. We use surgical stitches to reduce the exposed area of the wound. We do this in the same way when extracting several teeth in one session. After the extraction of the tooth, we give out pain relievers. Analgesics should not contain acetylsalicylic acid, as this adversely affects blood clotting.
Patient Behavior after Tooth Extraction
After surgery, proper behavior is essential for good wound healing and reducing potential complications.
- We do not recommend driving vehicles after extraction and while anesthesia is still in effect.
- It is necessary to apply cold to the extracted tooth’s place every hour for 15 minutes.
- The next day after extraction, we recommend rinsing the mouth with chlorhexidine solution, but not on the first day since vigorous rinsing can cause a violation of the attachment of a blood clot.
- Avoid dairy products, as the lactic acid bacteria they contain can affect the resulting blood clot.
- Intake of caffeine (coffee, black tea, energy drinks), nicotine, or alcohol should be limited as they contribute to bleeding.
- Grains of nuts and foods that contain friable ingredients can also be problematic as the crumbs can get trapped in the wound and cause inflammation.
- It is also essential to ensure that the teeth and wound area are thoroughly cleaned with a small soft toothbrush after each meal.
- A sudden rise in blood pressure can also be a problem and cause bleeding from the socket.
- It is necessary to limit physical activity on the first day.
- You should not eat anything immediately after the procedure while the local anesthetic is in effect. The anesthetic does not give you a feeling of pressure on the wound.
- We also recommend sleeping for the first three days on a high pillow, as the head’s horizontal position can increase swelling and provoke bleeding.
Possible Complications after Tooth Extraction
Complications can be as follows:
- pain, swelling, hematoma (bruise);
- difficulty in opening the mouth, swallowing problem;
- dry extraction socket when a blood clot fails to develop;
- rebleeding.
Rare complications:
- maxillary sinus membrane perforation;
- pushing the tooth root into the maxillary sinus;
- side effects of the anesthetic;
- irritation of the lower alveolar or lingual nerve with anesthesia, temporary numbness;
- damage to adjacent teeth;
- injuries to soft tissues.
Infrequent complications:
- fracture of the lower jaw or temporomandibular joint;
- dislocation of the temporomandibular joint;
- breaking off the injection needle during anesthesia;
- swallowing a tooth;
- tooth aspiration (ingestion of the tooth into the respiratory tract).
Extraction socket aftercare.
After the complicated extraction process, we schedule a follow-up visit a few days after the extraction.
If the wound is sutured, the stitches should be removed no sooner than after 10 days.
FAQ
How long does the pain last after a tooth extraction?
Pain duration depends on the wound’s size, individual sensitivity, and the healing process. It usually decreases after 2-3 days. However, if the wound is not healing correctly or the wound surface is large, pain may persist for over a week.
How long do I have to wait after a tooth extraction to place implants?
Implants can be placed immediately after tooth extraction. If the socket after extraction is infected, we wait about 2 weeks and do the so-called early delayed implantation. When bone grafting is necessary, implantation is carried out 4 months after the extraction.
What can I eat after a tooth extraction?
After a tooth extraction, the socket should not be traumatised for a few days. Therefore, it is necessary to avoid eating hard foods. Soups and soft foods are best at this time. Milk, yoghurt, cottage cheese, etc., are not recommended for the first three days, nor should you eat foods that crumble and may remain in the extraction site, thus infecting it.