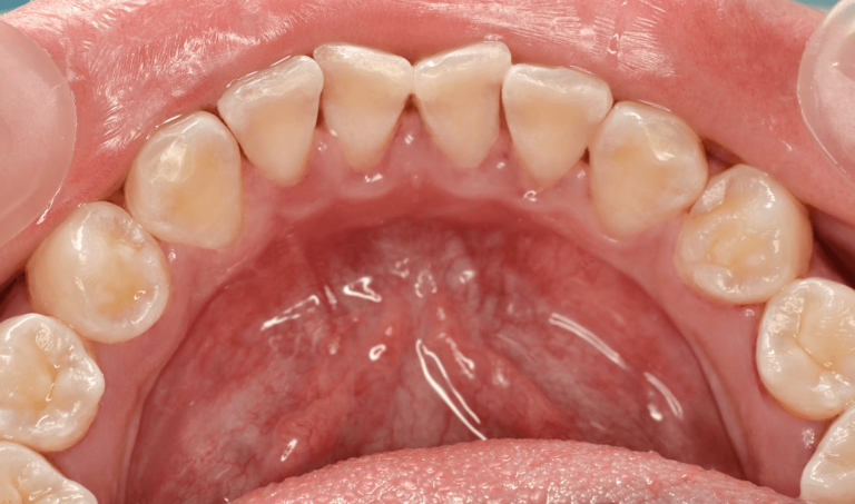
Professional oral hygiene. Illustrative image

Professional oral hygiene

    By filling out this form, you agree to the processing of your personal data.

    Price of Dental Hygiene Cleaning

    Services
    Cost
    Teeth cleaning (one jaw)
    The price includes ultrasonic cleaning, air flow and the application of polishing paste.
    from 1 500 UAH

    Professional Dental Cleaning

    Professional oral hygiene is a dental procedure that allows eliminating visible defects in tooth enamel (plaque, stains, tartar), creating and maintain the biological balance of the oral microflora.

    All this is necessary to prevent oral lesions and periodontal diseases (the soft tissues surrounding the tooth) and increase local immunity.

    Professional Dental Cleaning Illustration

    WHAT IS THE DANGER OF PLAQUE AND TARTAR?

    A growing body of research shows that bacteria and inflammation in the mouth are also linked to other problems, such as heart disease, and can threaten your health. Plaque continually builds up on the teeth. After eating, especially any foods and drinks with sugar or starch, bacteria release acids that affect the tooth enamel.

    Plaque is very sticky and keeps acids in contact with teeth, gradually destroying enamel and causing tooth decay.

    Prolonged accumulation of plaque leads to the formation of tartar, which increases gum inflammation (gingivitis). The inflammation destroys the gingival attachment, allowing plaque to penetrate lower subgingival calculus forms, and periodontitis begins.

    This condition is the most dangerous and challenging to treat. It is the leading cause of the loss of healthy teeth and bad breath (halitosis), and bacteria entering the bloodstream (bacteremia).

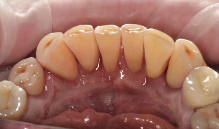
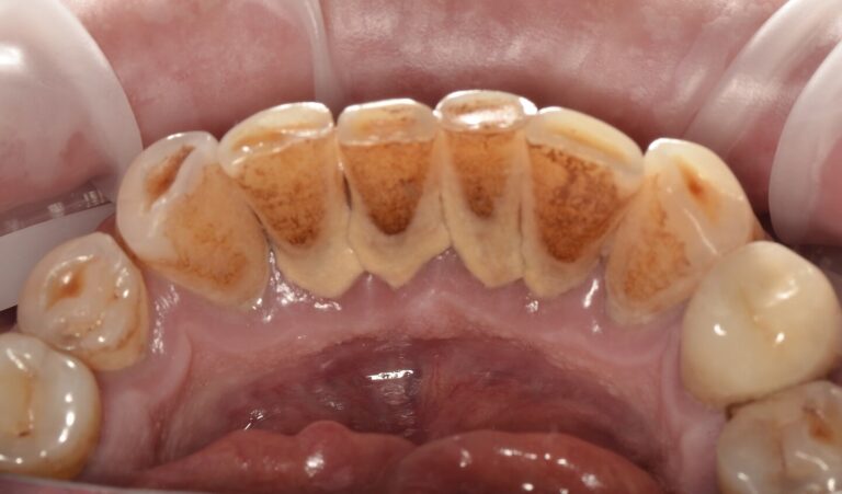
    WHAT IS THE DANGER OF PLAQUE AND TARTAR?. Photo before
    Before
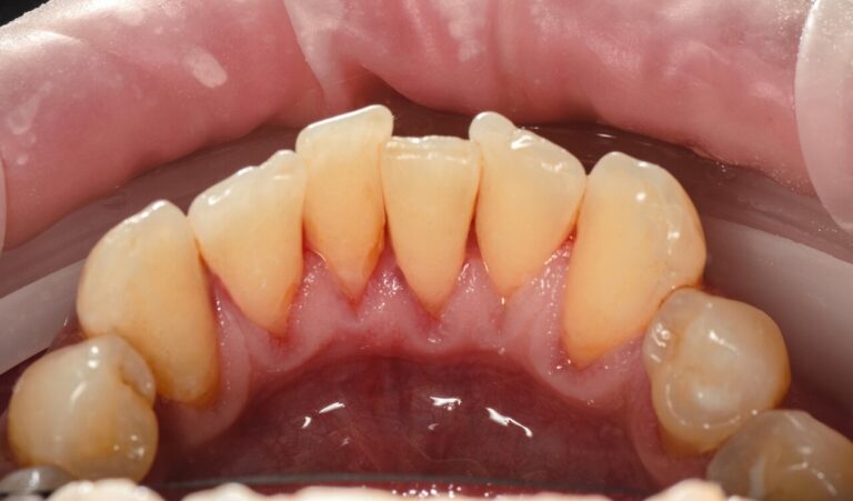
    WHAT IS THE DANGER OF PLAQUE AND TARTAR?. Photo after
    After
    Slide to compare before and after

    THE RATE OF PLAQUE AND CALCULUS FORMATION

    Plaque formation occurs continuously and increases after eating. Carbohydrates, especially sugars, begin to break down by saliva’s influence, resulting in a pH level decrease and the natural microflora increase.

    Besides, the texture of the food affects the formation of plaque.

    Soft, refined, low fiber foods increase plaque formation. For the plaque to begin to form, causing the local carious process, 10-12 hours are enough.

    Tartar forms imperceptibly and gradually in places where plaque stays for more than a day.

    THE RATE OF PLAQUE AND CALCULUS FORMATION Illustration

    HOW DOES PROFESSIONAL TEETH CLEANING WORK?

    During the diagnostic examination, we will test the tooth enamel staining level, which allows assessing the level of dental plaque contamination and measure the depth of periodontal pockets, which is necessary for the correct choice of hygiene products.

    Complex oral hygiene includes the following manipulations:

    1.Removal of hardened mineralized dental plaque using ultrasound.
    2.Elimination of dental plaque by the Airflow method.
    3.During periodontal cleaning, we polish the root areas (necks of teeth) with curettes.
    4.Final cleaning of teeth using professional kinds of toothpaste.
    5.Polishing the interdental spaces using strips (abrasive strips).

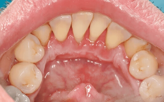
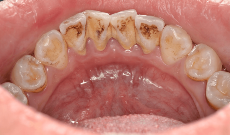
    HOW DOES PROFESSIONAL TEETH CLEANING WORK?. Photo before
    Before
    HOW DOES PROFESSIONAL TEETH CLEANING WORK?. Photo after
    After
    Slide to compare before and after

    The benefits of professional cleaning can hardly be overestimated. It is impossible at home to achieve excellent treatment results, even with the use of modern devices: electric brushes and irrigators. Plaque accumulates in the interdental spaces, at the base of the teeth, along the gingival margin, and is difficult to remove at home. After a professional cleaning, the enamel remains clean for up to 3-6 months. The enamel’s polished surface does not allow plaque to stick to the teeth, which is why it is recommended to carry out hygienic cleaning at least 2-3 times a year to prevent periodontitis and its complications.

    Professional cleaning is required if:

    • a patient undergoes complex periodontitis treatment;
    • there is a desire to improve the appearance of teeth;
    • the final stage of complex treatment is needed.

    Dental cleaning is necessary after oral cavity sanitation, before implantation, and prosthetics. Professional hygiene is required in case of darkening of the enamel due to smoking and alcohol consumption to simplify the process of applying a filling.

    The benefits of professional cleaning... Illustration

    The procedure is recommended for persons susceptible to inflammatory gum diseases, cardiovascular pathologies, and organ failure.

    Due to regular hygienic cleaning, the problem of many pathological processes affecting the oral cavity is solved. Considering that plaque on the teeth is a pathogenic microflora source, the bacterial film destroys the teeth. It leads to infectious and inflammatory diseases of the gums, mucous membranes of the oral cavity, the digestive tract (when bacteria penetrate the stomach and intestines with saliva). With already existing diseases of the intestinal tract, this risk increases significantly.

    Professional cleaning is an integral part of dental care for braces, prostheses, microprostheses (veneers, lumineers), crowns. The procedure is easily tolerated and does not require anesthesia, except in individual hypersensitivity of the enamel and gums.

    The procedure is recommended for... Illustration

    Professional teeth cleaning is an essential stage of hygienic dental care for patients aged 18-20 years. The doctor chooses the cleansing method based on the dental history data, examining the oral cavity after studying the enamel features. Cleaning allows not only to remove plaque but also to brighten the enamel by almost three tones. By choosing professional, hygienic care as maintaining the cleanliness of the oral cavity, our patients receive healthy and high-quality prevention of periodontitis and its complications.

    Professional teeth cleaning is an... Illustration

    ORAL HYGIENE ROUTINE

    It would be best if you carried out oral hygiene daily to avoid health problems and the development of dental diseases. It is necessary to choose the brush stiffness depending on the condition of the gums and teeth. Fluoride-containing pastes are recommended. Remember to change your toothbrush every three months.

    Oral hygiene routine:

    • brush your teeth from all sides, twice a day (morning and evening) for at least 2-3 minutes;
    • it is recommended to clean each tooth for 5-10 seconds;
    • movements should be rotational, from the gum to the tooth;
    • use a special brush to clean the tongue and mucous membranes of the mouth;
    • use a mouthwash after brushing your teeth and after every snack;
    • at the end of the procedure, thoroughly rinse the toothbrush;
    • use floss after eating and before brushing your teeth;
    • if it is not possible to brush your teeth after eating, use a special cleansing foam;
    • use an irrigator 2-3 times a week.
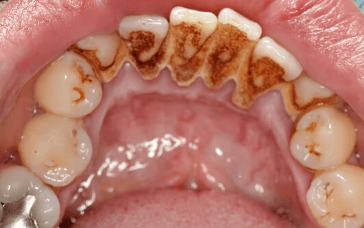
    ORAL HYGIENE ROUTINE. Photo before
    Before
    ORAL HYGIENE ROUTINE. Photo after
    After
    Slide to compare before and after

    Oral hygiene routine

    Following good oral hygiene practice will help make yellow teeth whiter, the gums healthy, and prevent bleeding. The breath will be fresh and pleasant. A visit to the dentist will only be a preventive measure.

    Oral hygiene routine. Icon
    Oral hygiene routine. Icon
    Oral hygiene routine. Icon
    Oral hygiene routine. Icon
    Oral hygiene routine. Icon
    Oral hygiene routine. Icon

    HOW TO GET RID OF TOOTH DECAY WITHOUT A DENTIST?

    More than 20 types of microorganisms live in the human mouth. They feed on food debris stuck between the teeth. Waste from bacteria causes cavities and tooth decay. Therefore, the primary treatment is daily oral hygiene. If you follow a standard oral hygiene routine but cavities still appear, then you need to brush your teeth every time after eating. You can only cope with tooth decay in its early stages on your own. There are special remineralizing pastes and gels, and vitamin complexes to treat it.

    But only dentists can treat moderate and deep carious lesions. In this case, it is necessary to grind the affected tissue and fill it.

    Poor oral hygiene results in bad breath. Active multiplication of bacteria starts. This leads to the development of not only dental diseases but also to disruption of internal organs functioning. Moreover, the restoration of decayed teeth is expensive.

    HOW TO GET RID OF TOOTH DECAY WITHOUT A DENTIST? Illustration

    BENEFITS OF PROFESSIONAL TEETH CLEANING IN OUR CLINIC

    Removal of dental plaque in our Clinic is performed only by professionals with extensive experience, gently and carefully. You can also be assured of complete sterility control and the use of the highest quality products and the latest techniques.

    BENEFITS OF PROFESSIONAL TEETH CLEANING IN OUR CLINIC. Photo before
    Before
    BENEFITS OF PROFESSIONAL TEETH CLEANING IN OUR CLINIC. Photo after
    After
    Slide to compare before and after
    Book online

      By filling out this form, you agree to the processing of your personal data.

      This service is provided by doctors
      Dental Therapist
      Top-level dentist, orthodontist

      Reviews

      google
      Alina Moore
      05.02.2026
      google
      google
      google
      google
      google
      google
      И Е
      17.01.2026
      google
      google
      google
      Anna
      29.11.2025
      google
      google
      Andrea Palossi
      25.11.2025

      FAQ

      Are a toothbrush and dental floss enough to clean bridges and implant crowns?

      After rehabilitation, we always recommend hygiene products, depending on the types of prosthetic restoration and the oral cavity condition.
      It can be end-tufted and interdental brushes, superfloss, irrigators, and other dental products in addition to toothpaste, brushes, and floss.

      Do teeth become whiter after a dental cleaning?

      Oral hygiene procedures are aimed at removing calculus and plaque from the surface of the teeth. After a dental cleaning, the teeth become a bit whiter only due to the removal of plaque.
      While whitening changes the color of the tooth itself by exposing it to chemical compounds.

      Share: