A Hollywood smile comes as a gift from parents or can result from the dentist’s masterly work. An orthodontist can correct complex bite problems and make teeth straight. To do this, dentists use one or more modern methods of correction.
The development of teeth occurs in childhood, up to 15 years of age. This process involves several stages:
- initial (up to 6 months);
- baby tooth eruption (6 to 36 months);
- formation of primary teeth and preparation for permanent teeth eruption (up to 6 years of age);
- mixed dentition (from 6 to 12 years of age);
- permanent teeth development (up to 6 years of age);
- permanent bite formation (up to 15 years of age).
Visual examination of the oral cavity can often help detect teeth positioning problems. There can be indirect symptoms indicating the pathology: lower jaw positions forward or too far back; protruded upper lip; crowded teeth; and facial asymmetry. Only a dentist can make an accurate diagnosis and determine the cause of the problem when examining the patient.

How to Straighten Teeth without Braces photo
Doctors classify several types of bite pathologies.
- Distal (prognathia) – the upper jaw protrudes over the lower jaw
- Mesial (progenia) – the lower jaw protrudes forward over the upper jaw
- Open – the jaw does not close entirely in one area; in the case of an anterior bite, the front areas do not close, and in the case of a posterior open bite – the posterior area.
Distal and mesial bites may overlap bilaterally or unilaterally, which also applies to an open bite. Prognathia or progenia can be deep (traumatic) when the overlap of the crowns is greater than ⅓.
Skeletal malocclusion can also present with dentoalveolar abnormalities:
- Dystopia – incorrect tooth positioning (e.g. turning around the vertical axis or extending forward)
- Transposition – interchange the position of the teeth (e.g., incisors and canines).
- Diastema – spaces between the teeth (“gaps”).
Braces are a popular and effective way to correct a bite. However, the method has several advantages and disadvantages.
Pros:
- elimination of complex problems with the mutual teeth alignment;
- relatively quick results.
Cons:
- adjustment to the braces takes time;
- high cost of braces placement;
- restrictions on food intake;
- the need for regular, thorough oral hygiene;
- contraindications.
Dentists recommend against the placement of braces if you have severe autoimmune diseases or gum disease.
Often patients ask until what age braces may be placed. Modern dentistry allows braces placement at any age from 12 years old.
Other treatment options are possible if the patient is unable or unwilling to have the braces fitted. The orthodontist chooses the method of bite correction based on the patient’s diagnosis, age, condition of the patient’s mouth, pre-existing conditions, bad habits and lifestyle.

How to Straighten Teeth without Braces photo
Can I File down a Crooked Tooth and Build up a Straight One?
If the patient has severe bite problems complicated by decay or chipped teeth, orthopaedic restoration is the right choice. This method is also suitable for a single defect, e.g. a rotated incisor. In all cases, the dentist tries to preserve the natural tooth.
Indications for prosthetic treatment are as follows:
- a tooth is without a nerve or severely damaged;
- severe wear and tear of the enamel (e.g., bruxism);
- discolouration, changes in the size or shape of tooth parts.
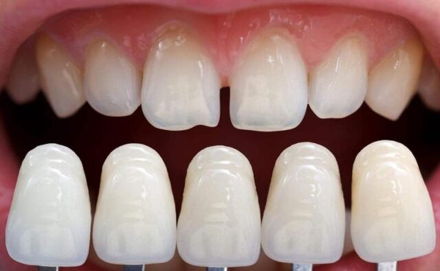
Depending on the severity of the condition, a specialist will choose a suitable treatment method. Suppose the outer surface of the tooth is only slightly imperfect. In that case, veneers or lumineers are an excellent option to get a perfect smile. Teeth are ground down to a depth of 0.7 mm. The doctor decides whether veneers can be applied to uneven teeth.
A ceramic or metal-ceramic crown is placed if the crown is significantly damaged. If necessary, a dentist performs a root canal, grinds it down and fits a crown.

How to Straighten Teeth without Braces photo
Ways of Aligning Teeth
The following techniques are used in dentistry for correcting teeth without the use of braces:
- removable and fixed orthodontic plates (help correct a child’s malocclusion up to the age of 12);
- exercises (used for correcting smaller problems);
- trainers;
- removable mouth guards;
- aesthetic restorations;
- veneers and lumineers;
- prosthetic appliances.

Orthodontic plates
A simple, painless and effective method of bite correction in children. There are single and double mouth guards, removable and fixed appliances with retractable bows and complex systems.
A patient should wear an orthodontic appliance for 6-24 months to achieve a positive result. After that, an orthodontist controls the treatment regularly. Sometimes, it is necessary to change several appliances at regular intervals (6-12 months).
Myogymnastics
A dentist can recommend myogymnastics if a child has slight bite problems. This is a set of special exercises to stimulate jaw growth and development. Exercises are done daily, several times for an extended period.
Trainers
If the masticatory muscles cause bite problems, trainers are recommended. There is a special silicone double mouth guard, reducing the muscles’ excessive pressure and ensuring the jaws’ correct position.
They are effective in children. For adults, they are used as a supportive method after treatment with braces to help consolidate the positive result. It is recommended to wear the braces for several months.

Aligners
Aligners are removable, transparent mouthguards. They are based on a computer simulation of the patient’s masticatory system.
The software calculates the bite modification step by step. This is used to create a set of mouthguards that includes up to 30 pieces for different stages of treatment. Once one mouthguard has been applied during the calculation period, the dental specialist replaces it with the next.
The appliance is worn around the clock and is only removed before meals and oral hygiene. The therapy duration is up to 1 year or more. This technique can correct dental-alveolar abnormalities, sometimes at the level of the bracket system.
Artistic restoration
It is a restorative treatment that involves the application of composite materials aligning the tooth surface, and restoring the regular shape of the tooth. Photopolymers can help even out tooth surfaces, hide gaps between teeth, in addition, remove discoloured enamel areas, chips and cracks.
Veneers and lumineers can correct minor bite defects, misalignment or tooth rotation. In addition, they mask chips, discoloured enamel, cracks and other minor changes. Ceramic, zirconia and composite veneers are used in dentistry and vary due to their durability, aesthetics, durability and cost.

If the tooth is without the nerve or decayed, dental restorations can help to correct the bite and restore the integrity of the tooth. Crowns are placed on damaged, missing or dystopian teeth to create a perfect smile.
Bite Correction without Braces
Bite correction without braces is performed in several stages:
- Examination of the oral cavity, the relative position of the teeth, and the patient’s general health.
- The choice of treatment method.
- Prepare the oral cavity (treating cavities and other diseases, professional cleaning).
- Fabrication and placement of orthodontic appliances and their fitting.
- Teaching oral hygiene methods and cleaning orthodontic plates, trainers, and aligners.
- Timely visits to the dentist to correct the orthodontic braces and monitor the course of treatment.
- When using plates, the removal of the appliances and consolidation of the results are achieved.

How to Straighten Teeth without Braces photo
The patient should practice good oral hygiene and specific dietary restrictions during treatment. For example, avoiding eating foods that are too hot, too cold and too hard (nuts, sunflower seeds and other foods that can damage the restoration and teeth) is necessary. In addition, regular visits to the dentist are necessary during the treatment period.
Veneers, lumineers, dentures with crowns and bridges are used for a quick effect. In this case, treatment takes a few weeks.
Correction of teeth is possible at any age. Still, the earlier the treatment begins, the sooner the results will be achieved and the easier it is to have a beautiful smile. The dentist will provide each patient with an individually effective method of correction, allowing for a comfortable and fast solution to the problem.

(519)
