Self-Ligating Braces. Illustrative image

Self-Ligating Braces

    By filling out this form, you agree to the processing of your personal data.

    Price of self-ligating braces

    Services
    Cost
    Metal braces (one jaw), first payment before starting treatment
    20 400 UAH
    Aesthetic braces from artificial sapphire, first payment before starting treatment
    23 000 UAH
    Self-ligating metal braces (one jaw), first payment before starting treatment
    27 000 UAH
    Aesthetic self-ligating ceramic braces (one jaw), first payment before starting treatment
    32 000 UAH
    Braces correction
    1 400 - 2 100 UAH
    Addtional information
    In case when sum for braces treatment has been paid in full, but the orthodontic treatment has not yet been completed, the patient attends corrections free of charge.

    What are self-ligating braces?

    Previous generation braces (classic ones) have wire or elastic ligatures. The arch is tightly attached by the ligatures, so they do not slide during the movement. Alignment and movement result from intense pressure. Bite correction is a long-term process and can cause temporary aesthetic inconveniences to the patient. Therefore, the new generation of ligatureless braces appeared. They are also external, but the difference is that the arch is passively attached, which is locked. She slides, acts selectively, with small but constant forces.

    What are self-ligating braces? Illustration

    Advantages of self-ligating braces?

    The absence of ligatures greatly simplifies oral hygiene. Visits to the orthodontist are not as frequent as with classic braces. Treatment time can be reduced, and changes in the position of the teeth are noticeable at the first stages.

    One of the disadvantages is the significantly higher price compared to traditional braces.

    Types of self-ligating braces?

    There are ceramic and metal, active and passive self-ligating braces. The brace itself has smooth rims, which provide comfort and protect the mucous membrane from irritation and scratches. The base is made to match the ergonomics of the tooth, which guarantees accurate and effective treatment.

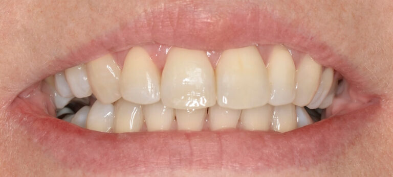
    Advantages of self-ligating braces?. Photo before
    Before
    Advantages of self-ligating braces?. Photo after
    After
    Slide to compare before and after
    Book online

      By filling out this form, you agree to the processing of your personal data.

      This service is provided by doctor
      Top-level dentist, orthodontist

      Reviews

      google
      Alina Moore
      05.02.2026
      google
      google
      google
      google
      google
      google
      И Е
      17.01.2026
      google
      google
      google
      Anna
      29.11.2025
      google
      google
      Andrea Palossi
      25.11.2025

      FAQ

      At what age can you get braces?

      It is possible to start the orthodontic treatment with braces at the age of 12-13 after the root ends of permanent teeth have formed.

      Do you need to extract teeth before getting braces?

      It all depends on the pathology, which your doctor determines.

      Do braces damage teeth?

      If the patient has excellent hygiene, then the enamel traces are minimal. Still, there is remineralization therapy (saturation of the tooth tissues with minerals to strengthen the enamel and prevent cavities) according to the indications for those who have problems.
      This process is reduced when the lingual technique is applied.

      What should be done after removing the bracket system?

      After the end of orthodontic treatment, a retention period begins. During this period, it is essential to make a retention device (for example, a retainer, splint, or plate), which will fix and maintain the result.

      Can see the result after treatment with a bracket system?

      Yes, there is. After taking impressions, your expected result after treatment is simulated.

      How long does treatment take?

      The duration of wearing orthodontic appliances depends on the case’s complexity, age and other factors. The average treatment period is 1.5-2 years.

      Share: