Airflow Teeth Cleaning. Illustrative image

Airflow Teeth Cleaning

    By filling out this form, you agree to the processing of your personal data.

    Price of Air Flow Teeth Cleaning

    Services
    Cost
    Teeth cleaning (one jaw)
    The price includes ultrasonic cleaning, air flow and the application of polishing paste.
    from 1 500 UAH

    What is the Airflow procedure?

    Airflow teeth cleaning involves cleaning supra-gingival plaque with a soda jet device that simultaneously supplies water and finely dispersed soda by spraying on the tooth’s surface. Airflow allows removing pigmented plaque of food origin, tobacco plaque, and microbial invisible film. After such cleaning, a thorough diagnosis of the plaque stains and surface caries is possible, and a dentist will decide on further treatment.

    What is the Airflow procedure? Illustration

    How does the Airflow method work?

    Due to the modern range of cleaning powders, it is possible to significantly reduce unpleasant sensations during cleaning by selecting the abrasiveness of the composition individually for the patient.

    The complex cleaning is completed by polishing the teeth with a special paste containing fluoride to reduce tooth sensitivity and polishing rubbers to maintain the shine of composite fillings and restorations.

    Polishing abrasive belts (strips) and flosses are used in areas of interdental contact that are difficult to reach by the tools.

    Are there any restrictions after the procedure?

    After the complex of professional hygiene, the patient receives recommendations on home care, which help prolong the procedure’s effect and maintain the health of the oral cavity.

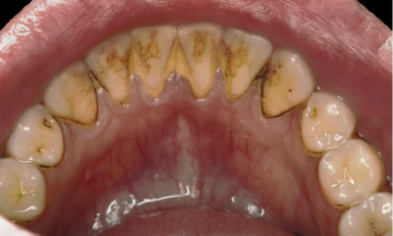
    How does the Airflow method work?. Photo before
    Before
    How does the Airflow method work?. Photo after
    After
    Slide to compare before and after

    You should avoid consuming colouring products (coffee, tea, fruits) within 2–3 hours after cleaning. Smoking is also forbidden on the day of the dental hygienist’s visit.

    Based on individual indications, a new toothbrush (3-4 rows, without polishing rubbers) and toothpaste containing herbs, antiseptic, and fluoride are necessary.

    Floss (superfloss), interdental brushes, and an irrigator are required to clean the interdental spaces 1–2 times daily.

    How often should the procedure be performed?

    The procedure of professional tooth cleaning is carried out at intervals of 6–12 months, depending on the rate of plaque accumulation. In the case of concomitant periodontal diseases, it is once every 3–4 months. The duration of cleaning takes 30–60 minutes. It is acceptable to carry out hygiene for pregnant women, children, and adolescents.

    Regular preventive examinations with your dentist allow you to maintain oral hygiene, detect signs of dental caries on time, and prevent complications.

    You should avoid consuming colouring... Illustration
    Book online

      By filling out this form, you agree to the processing of your personal data.

      This service is provided by doctors
      Dental Therapist
      Top-level dentist, orthodontist

      Reviews

      google
      Alina Moore
      05.02.2026
      google
      google
      google
      google
      google
      google
      И Е
      17.01.2026
      google
      google
      google
      Anna
      29.11.2025
      google
      google
      Andrea Palossi
      25.11.2025

      FAQ

      Are a toothbrush and dental floss enough to clean bridges and implant crowns?

      After rehabilitation, we always recommend hygiene products, depending on the types of prosthetic restoration and the oral cavity condition.
      It can be end-tufted and interdental brushes, superfloss, irrigators, and other dental products in addition to toothpaste, brushes, and floss.

      Do teeth become whiter after a dental cleaning?

      Oral hygiene procedures are aimed at removing calculus and plaque from the surface of the teeth. After a dental cleaning, the teeth become a bit whiter only due to the removal of plaque.
      While whitening changes the color of the tooth itself by exposing it to chemical compounds.

      Share: