Ceramic Braces. Illustrative image

Ceramic Braces

    By filling out this form, you agree to the processing of your personal data.

    Price of ceramic braces

    Services
    Cost
    Metal braces (one jaw), first payment before starting treatment
    20 400 UAH
    Aesthetic braces from artificial sapphire, first payment before starting treatment
    23 000 UAH
    Self-ligating metal braces (one jaw), first payment before starting treatment
    27 000 UAH
    Aesthetic self-ligating ceramic braces (one jaw), first payment before starting treatment
    32 000 UAH
    Braces correction
    1 400 - 2 100 UAH
    Addtional information
    In case when sum for braces treatment has been paid in full, but the orthodontic treatment has not yet been completed, the patient attends corrections free of charge.

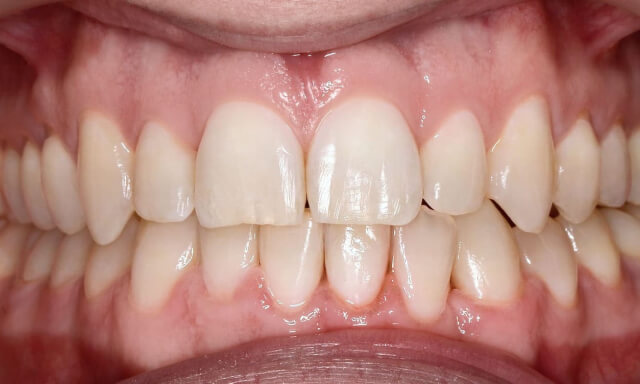
    Ceramic Braces Placement

    Ceramic braces are effective modern orthodontic appliances for aligning teeth. Patients who want to preserve the aesthetics of their smile and make the treatment process less noticeable to others choose them.

    Ceramic braces are close in shade to natural tooth enamel and do not catch the eye when talking or smiling. At the same time, they successfully fulfil their primary function of moving teeth and correcting bite problems.

    Ceramic Braces Placement Illustration

    What Are Ceramic Braces?

    Orthodontic appliances are made of polycrystalline aluminium oxide, a synthetic material that comes in different shades—from white to cream and yellowish. The braces consist of plates and locks fixed to the teeth, and a metal arch connects the elements and provides the necessary force to move the teeth.

    The braces can come in:

    • ligatures – the arch is fixed due to metal elements (ligatures), which make the appliance more voluminous and require frequent correction;
    • self-ligating (active and passive) – the arch is attached with tiny clasps that are less visible on the teeth.
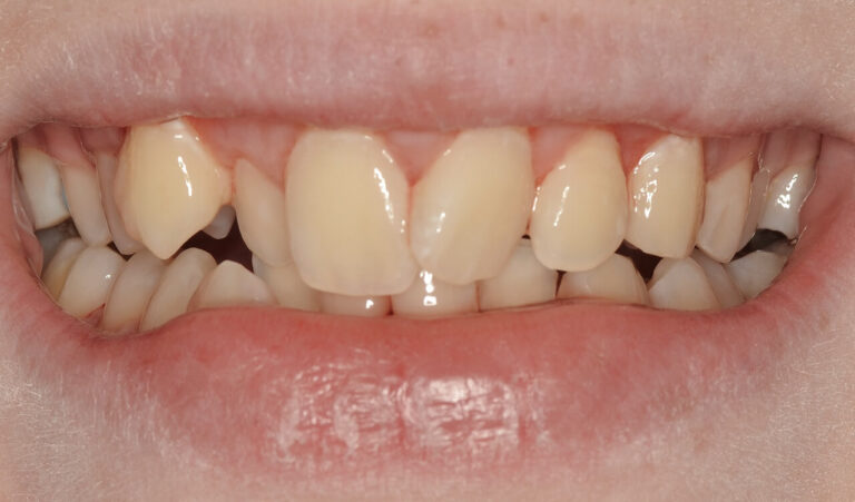
    What Are Ceramic Braces?. Photo before
    Before
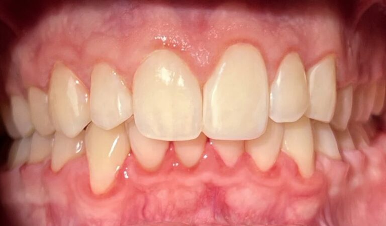
    What Are Ceramic Braces?. Photo after
    After
    Slide to compare before and after

    Benefits of Ceramic Braces

    Ceramic braces are the most popular braces option for teenagers and adults. They eliminate the issue of crowded teeth, wide gaps between teeth, and misalignment of individual dental units. After treatment, the patient will have a perfectly straight smile, which not only makes the appearance attractive but also reduces the risk of dental problems.

    Aesthetics and Comfort

    The shade of ceramic braces is individually matched to the colour of the enamel, so they blend in with the teeth and will be virtually invisible. The metal archwire is coated with Teflon on top so that it does not stand out against the background of the smile. Due to the ceramic braces’ aesthetics and miniature nature, the patient gets used to them quickly, and diction and chewing are not disturbed. The patient will be able to feel comfortable in any situation: socialise and smile without embarrassment, take photos, and speak at public events.

    Aesthetics and Safety

    Ceramics is a hypoallergenic material that does not cause adverse local reactions or an unpleasant metallic taste in the mouth. Thanks to its rounded shape and smooth surface, the device does not damage the tooth enamel or traumatise the cheeks and tongue. Braces of this type create moderate pressure on the teeth, making the treatment effective and less painful. You should remember that due to the gentle effect, it will take longer to correct the bite than with metal braces.

    Benefits of Ceramic Braces Illustration

    Our Services

    The Clinic of Aesthetic Dentistry in Kyiv provides effective orthodontic treatment for any bite pathology. An orthodontist of the highest category with more than 30 years of experience works with our patients. An individual treatment protocol with bracket systems is prepared for each clinical case.

    Consultation and Selection of Braces

    Selection of a bracket system begins with a consultation with an orthodontist. The doctor examines the oral cavity and the condition of the teeth and assesses the type of bite disorder and the complexity of the case. Next, an X-ray diagnosis is carried out – a panoramic image, which gives detailed information about the pathologies of the dental-mandibular system.

    The choice of the type of braces is influenced by:

    • the kind of bite misalignment;
    • the condition and colour of the tooth enamel;
    • the presence of concomitant dental diseases;
    • the patient’s wishes regarding aesthetics;
    • the patient’s lifestyle;
    • financial possibilities.
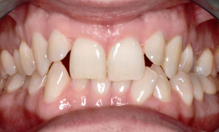
    Our Services. Photo before
    Before
    Our Services. Photo after
    After
    Slide to compare before and after

    Placement Process

    Before starting orthodontic treatment, preparation is necessary: caries treatment and professional oral hygiene. When the sanitation is complete, the doctor places the bracket system:

    • polishes the enamel and coats it with a protective agent;
    • glues locks to the front surface of each tooth;
    • connects the elements with a metal archwire;
    • secures the archwire with ligatures or retainers.
    Placement Process Illustration

    Care After Fitting

    Plaque builds up quickly in hard-to-reach areas, which can cause tooth decay and gum inflammation. To avoid problems, you need to follow all the rules of care for braces, which will tell the orthodontist. The main recommendations are:

    • rinse your mouth with water after every meal;
    • thoroughly clean your teeth twice a day using special V-shaped and mono-bristle brushes;
    • use a floss, irrigator, and mouthwash for more thorough hygiene;
    • avoid hard, rough, sticky, too hot food;
    • very 3-6 months, visit the doctor for a professional dental cleaning.
    Care After Fitting. Photo before
    Before
    Care After Fitting. Photo after
    After
    Slide to compare before and after
    Book online

      By filling out this form, you agree to the processing of your personal data.

      This service is provided by doctor
      Top-level dentist, orthodontist

      Reviews

      google
      Alina Moore
      05.02.2026
      google
      google
      google
      google
      google
      google
      И Е
      17.01.2026
      google
      google
      google
      Anna
      29.11.2025
      google
      google
      Andrea Palossi
      25.11.2025

      FAQ

      What is the disadvantage of ceramic braces?

      Ceramic is a more fragile material, so eating hard food or experiencing mechanical trauma can cause the braces to break. The design is not repairable, and you must order a new system to continue treatment.

      Which braces are better – ceramic or metal?

      Both options are effective for aligning teeth. Ceramic models are recommended for patients who care about the smile’s aesthetics. Metal designs are suitable for those who want to correct their bite quickly and are not embarrassed to wear noticeable orthodontic appliances.

      How much do ceramic braces cost on average?

      A ligature-free ceramic bracket system in the KES clinic costs 36,000 to 41,000 UAH per jaw.

      Share: