Ceramic crowns. Illustrative image

Ceramic crowns

    By filling out this form, you agree to the processing of your personal data.

    Price of ceramic crowns

    Services
    Cost
    Ceramic crown
    from 13 000 UAH
    Veneer
    18 000 UAH
    Zirconia crown
    from 13 300 UAH
    Ceramic dental crowns

    Ceramic dental crowns

    Ceramics or porcelain is a mineral material that is used in many areas. Silicate ceramics are predominantly used in dentistry. Dental crowns, which should be mainly aesthetic, are made of silicate. It is very similar to a natural tooth but more fragile.
    As this material is very popular, it is constantly being developed and optimised.

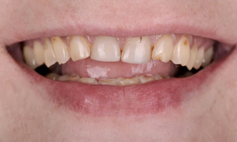
    Ceramic dental crowns. Photo before
    Before
    Ceramic dental crowns. Photo after
    After
    Slide to compare before and after

    What are the features of all-ceramic crowns?

    All-ceramic crowns are made entirely of ceramic. They are popular with patients because they look much more like natural teeth than crowns made of metal, gold, zirconia, or plastic.

    The use of various ceramic materials that can be layered allows for the fabrication of dentures of very high aesthetic quality.

    Because they are metal-free, they are also suitable for patients who do not want or cannot have metal in their mouth. The material is exceptionally well tolerated and does not cause allergies. All-ceramic crowns are durable. They do not discolour or wear off.

    Ceramic crowns are precisely designed with computer software using CAD/CAM technology and manufactured on a milling machine.

    What are the features of all-ceramic crowns?. Photo before
    Before
    What are the features of all-ceramic crowns?. Photo after
    After
    Slide to compare before and after
    Book online

      By filling out this form, you agree to the processing of your personal data.

      This service is provided by doctors
      Head Doctor. Top-level dentist, surgeon, orthopaedist
      Top-level dentist, orthodontist

      Reviews

      google
      Alina Moore
      05.02.2026
      google
      google
      google
      google
      google
      google
      И Е
      17.01.2026
      google
      google
      google
      Anna
      29.11.2025
      google
      google
      Andrea Palossi
      25.11.2025

      FAQ

      Is it true that fillings on front teeth discolor over time, but veneers do not?

      Yes, composite materials lose particles over time, and pigments get into empty micro-spaces.

      How long does it take to fit a prosthesis on a dental implant?

      There are several types of implant load.
      We often use a protocol for loading the lower jaw after 2 months and the upper one after 4-6 months.
      Sometimes we apply immediate loading: prosthesis connected to the dental implant right after the implant placement. This method is used most often for esthetic reasons important for a patient. This allows preserving the anatomy of the soft tissues around the teeth and feeling comfortable.
      In case we use Trabecular Metal Implant from Zimmer Biomet, we can fix the crowns six weeks after the implant surgery.

      How long can a temporary crown last?

      Here the name “temporary” says it all, meaning you can only use it for a short period. It is used until a permanent crown is made. If during this time it comes off (the temporary crown is fixed to the tooth with temporary cement), you will need to contact your dentist for re-cementation. If you cannot get your temporarily installed crown replaced with a permanent one, please note that you should not have it for more than a month. However, this figure can vary. And it all depends on the case. Since the temporary structure cannot correctly perform all tooth functions, it is not worth delaying it by replacing it with a permanent tooth.

      How long does it take to make an implant crown?

      Depending on the clinical situation, we will make a crown for you within 3-8 days.

      Fixed or removable dental restoration?

      Dentures can be fixed, overdenture, and removable. Fixed dentures are always a high-quality, reliable, and durable solution. With such a prosthesis, the patient’s jawbone is preserved, and the prosthesis itself provides excellent stability and makes a patient feel confident. The only drawback is the inability to remove them after the initial installation easily. An overdenture restoration is retained by natural teeth or dental implants and is a good option if a sufficient number of implants for a fixed restoration cannot be placed. If an overdenture is implant-retained, it will also preserve the jaw bone. Such prostheses are removable, easier to repair, and clean professionally. Removable dentures are fitted in cases it is impossible to install fixed or overdenture restorations for various reasons. The advantage of removable dentures is that the patient can remove them without assistance, affordable price, and ease of manufacture.

      What are the methods for composite veneer manufacturing?

      Composite veneers are made directly in the office by the dentist.
      A simpler method is for the doctor to apply composite material layer by layer directly to the tooth, after which it is polished.
      We also use the injection method of veneer fabrication.
      Once the teeth’ shape has been pre-approved, a transparent mouth guard with small openings for the injection of liquid composite is made.

      Can composite veneers chip or break?

      If dental veneers are placed appropriately, this will not happen. In addition, it should be stressed that the breakage of dental veneers depends mainly on the patient’s eating habits. Grinding your teeth, biting your nails, and biting tough food can cause the veneers to break.

      How long do composite veneers last?

      Several conditions must be fulfilled to keep veneers long, such as brushing after every meal, flossing, and timely professional cleaning and polishing in the dental office.

      What is the lifespan of removable dentures?

      The service life of removable dentures depends on the type of denture, the materials used, the quality of care and the patient’s characteristics. On average, dentures last 5-7 years. The main reasons why they need to be replaced are as follows:

      • material loss (abrasion of the chewing surface);
      • changes in the shape of the gums and atrophy of the bone tissue, due to which the denture ceases to fit tightly;
      • loss of aesthetic appearance (discolouration, damage).
      What are the disadvantages of a complete removable denture?

      Removable complete dentures have several disadvantages affecting comfort, aesthetics, and functionality. Here are the main ones:

      • weak retention, often requiring the use of creams or gels;
      • it takes time to get used to the denture; dentures can rub on the gum;
      • can cause soreness or inflammation, especially initially;
      • the denture may partially cover the palate, which reduces the sensitivity of the taste buds;
      • may cause articulation difficulties in the first few weeks of use.
      Share: