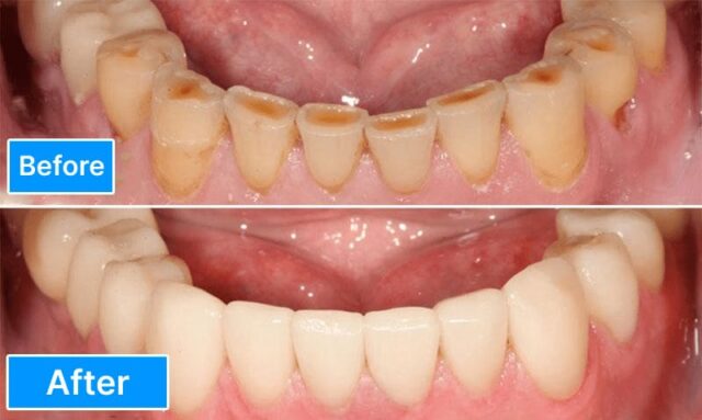
It is an aesthetic and practical necessity if you have missing or severely damaged incisors or canines. Metal-ceramic and ceramic crowns for front teeth restore a beautiful smile, psychological comfort, and masticatory and speech functions.
According to statistics, 60% of people wear dental crowns, while 14% have lost their teeth completely and use full dentures. In addition, 50% of people lose at least one incisor, canine or molar by 30.
The treatment with ceramic crowns takes 5-14 days, requires 2-3 visits to the dentist and consists of several stages:
- oral cavity check-up;
- preparing teeth for dentures (root canal therapy, filling, grinding);
- taking of impressions or digital scanning;
- manufacturing of prosthetic restorations;
- crown fitting and luting.
The procedure is virtually atraumatic and painless, and the fitted designs do not require a long period of adaptation. In addition, modern technology and materials enable the manufacture of front tooth crowns virtually indistinguishable from the patient’s incisors or canines.

Types of Prostheses and Manufacturing Techniques
There are single crowns and dental bridges. In the first case, the crown is placed on a single tooth, while in the second case, the crown replaces several adjacent elements of the tooth row.
Recently, dental restorations have been fabricated using CAD/CAM technology. In this case, the patient’s jaw is scanned with a 3D scanner; the scans are uploaded to a computer, which generates a new tooth design. Then, the model is processed in the software and sent to the milling machine to create the crown. This helps achieve high precision and perfect quality of the product.
A similar technology, CEREC, involves a special furnace for firing the crowns as part of the prosthetic production chain. This technology allows for the production of highly durable products.
In most cases, metal-ceramic, ceramic and zirconia dental restorations are used. Porcelain-fused-to-metal dental restorations are very strong, long-lasting and have an attractive appearance. They are often used to replace lost molars and premolars.
Ceramic dentures are ideal for the replacement of anterior teeth.
They have a wide range of advantages:
- maximum natural appearance;
- reliability;
- long service life;
- excellent protection for incisors and molars against further decay;
- biocompatibility with the human body;
- does not cause allergic reactions;
- chemically neutral;
- lightweight;
- comfortable;
- no excessive load on the jaw.
They are often used to replace old composite restorations.

If there are minor problems with the aesthetics of the teeth, light and thin veneers are placed on the front part of the tooth to mask chipping, discolouration and other defects.
Ceramic Crowns for Front Teeth
Several types of ceramic crowns for front teeth are used in dentistry:
- E-max glass-ceramic;
- Zirconium dioxide-based materials:
- Porcelain (cast, pressed).
Porcelain is the lightest of all materials but is less tough, cracking and chipping prone. Zirconia can withstand considerable mechanical stress and temperature changes. Glass-ceramics Glass ceramics is the lightest, most reliable and long-lasting material and allows the making of prostheses that resemble natural teeth to the maximum extent possible.

Which Is Better – Ceramic or Metal-Ceramic?
Metal-ceramic crowns are popular, but the technology is considered outdated. However, they are still used for restorations of chewing teeth outside the smile zone under a lot of pressure.
Ceramic dentures are used to restore incisors and canines. These are more lightweight and aesthetic and do not cause allergic reactions. The ceramics aesthetic dental restorations are performed with maximum aesthetic effect.
Manufacturers are constantly improving the composition of materials, adding new properties.
The dentist recommends the material based on the diagnosis, the patient’s needs and lifestyle. The most common choice for the restoration of incisors and canines is ceramics – either cast, pressed or moulded. The production technology also affects the quality of the product. Glass ceramic is considered the most durable.
Ceramic crowns are used for restorations in cases of:
- loss of a tooth or destruction of 60-70% of the tooth substance;
- eliminating dental aesthetic defects;
- allergic reactions to other materials used in dental products.
Contraindications for ceramic crowns: bruxism, periodontal disease, severe systemic autoimmune or cardiovascular diseases.
Specialists of the Clinic of Aesthetic Dentistry provide professional dental prosthetics in Kyiv.

Among the hundreds of manufacturers of metal-free dental materials, patients and experts prefer the following brands:
- Ivoclar Vivadent (Germany) is a popular brand for high-quality products, engaged in developing and producing materials for dentures. It manufactures three product lines: IPS Classic and IPS d.SIGN, IPS InLine. A revolution in dentistry has been the Empress all-ceramic crown, a new product manufactured from leucidal ceramics processed using unique technology, resulting in exceptional strength. E-max all-ceramic crowns are in demand all over the world because the material reflects light, is perfectly shaded, and the product is indistinguishable from natural teeth even at close distance.
- Vita InCeram Alumina (Germany) – produces high-strength products with aluminium oxide, used in complicated cases (patients with allergies, gum disease).
- Noritake (Japan) – produces all-ceramic crowns and metal frames. The products are in demand due to their excellent strength, durability, gum protection and affordability.
- Ducera (Germany) – hydrothermal ceramics are produced after a patented technology using high temperatures. These products are exceptionally durable.
- DeguDent (Germany) – manufactures ceramics to produce CAD/CAM dentures and supplies a wide range of materials and tools for dentistry.
- 3M ESPE Dental Products (Germany) – the enterprise is the result of the merger of German and American companies. Produces a range of quality materials for dentures.
Ceramics of various brands differ in properties, manufacturing technology and price. The dentist chooses materials based on the diagnosis and requirements of the patient. The better the ceramics are chosen, the better the results and the longer the product’s life.
How Long Do Ceramic Teeth Last?
The lifespan of ceramic crowns is between 10 and 25 years. However, if you follow some simple rules, you can significantly extend the life of your dental restorations. Statistics show that 90% of porcelain crowns last 15 years or more.
For incisor and canine prostheses to function and maintain their excellent appearance for many years, it is necessary to:
- Choose a modern clinic with a good reputation that provides a guarantee of applied dental restorations and experienced professionals;
- Choose high-quality, certified materials for the fabrication of crowns;
- Practice good oral hygiene;
- Avoid eating hard, viscous or sticky food (nuts, crackers, sunflower seeds, or chewing gum);
- Do not bite into threads;
- Wear a mouth guard when practising traumatic sports;
- Avoid smoking, eating hot and cold foods, and consuming colouring food and drinks (tea, coffee);
- Visit your dentist regularly and take care of your oral health.
Clinic Clinic of Aesthetic Dentistry in Kyiv offer high-quality front teeth restoration. We use advanced prosthetic technologies and the latest advanced materials.
If the prosthetic denture is deformed, cracked, chipped, looks unaesthetic, does not fit tightly to the tooth, causes discomfort (scratching, rubbing), or becomes loose, you should immediately contact your dentist for the correction of the crown or its replacement. In addition, wearing damaged products may damage the gums, oral mucosa, neighbouring teeth and the tooth where the denture is placed.
With proper care and compliance with the above rules, ceramic dentures ensure a beautiful smile and comfort.

(517)