A crown is an orthopaedic structure. It helps to restore a partially destroyed tooth. Thanks to technology, you can choose a natural shade. Crowns change the shape and position of the teeth. Dentures are made from durable materials.
Metal Ceramics on Front Teeth

Due to their high strength and wear resistance, metal-ceramic crowns serve for more than ten years. In addition, they allow restoring the teeth’ functionality and the aesthetic appearance of the smile.
The basis of the prosthesis is the support framework covered with ceramic components. By adding dyes, they acquire the desired colour. It is possible to choose a shade that completely matches the natural enamel.
The finished material is made using precious or base metals. The framework is usually made from a cobalt-chromium alloy. The price of products depends on the composition.
Metal-ceramic crowns are used for the restoration of the front teeth. The strong base and ceramic coating ensure the quality of the prosthesis. The method is suitable for both partial and complete absence of front teeth. The procedure can be performed with increased tooth abrasion and even moderate periodontitis.
How Is Crown Removed from Teeth?
A dental prosthesis is removed after the service life expiry. On average, this term is 15 years. The reason for the earlier procedure may be the presence of inflammation under the structure. In addition, due to inappropriate usage, the destruction of the cement that holds the crowns occurs.
Dentists, where appropriate, seek to preserve the prosthesis. Sometimes a crown can be removed with a special tool. However, the high rigidity of the product determines the primary method of removal – cutting. The method ensures the safety of the healthy part of the tooth. After cutting, it is not possible to use it again.
Zirconia Crowns or Metal Ceramics?

Metal-ceramic crowns are functional and reliable. Layer-by-layer application of ceramics provides an aesthetic appearance. There are three main types:
- The classic crown is made of cobalt-chromium alloy coated with ceramic.
- They are also made of gold, silver and platinum. These metals rarely cause an allergic reaction and do not oxidize.
The advantages of cermets are long service life, affordable price.
A dental crown made of zirconium dioxide is universal. Features of the material allow recreating the shade and texture of a natural tooth. The main characteristics of zirconium are:
- Resistant to high loads.
- Biocompatibility. Zirconium has a good survival rate.
- The possibility of prosthetics for incisors, canines, premolars and molars indicates its versatility.
- The average service life is 10-15 years.
- Almost complete absence of contraindications.
Both zirconia and metal-ceramic dental crowns are effective. They are durable and wear-resistant. It is possible to choose any material if a person is not allergic to metals.
For longer service life, it is necessary to practice good oral hygiene. In addition, avoiding hard food and smoking can increase service life. The crown can retain its original appearance for 10-15 years while meeting the requirements.
When Should Crown Be Placed on Teeth?
The dental crown protects the tissues. It is placed in the following cases:
- It is impossible to restore a natural crown using aesthetic restoration and other methods.
- The desire to correct tooth defects.
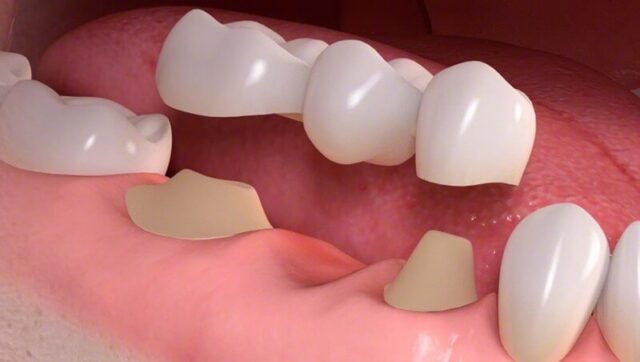
- When placing bridge restorations.
- Tooth decay destroys more than half of the natural tooth.
- Injury without root damage.
- The desire to minimize the periodontitis symptoms.
Ordinary fillings do not cope well with the chewing load. When placing them, there is a risk of falling out or breakage. In some situations, a tooth may break under the influence of the structure. Due to the prosthesis, the risk of damage during use is minimized.
Dentures perform an aesthetic function. They mask chips and uneven surfaces. With their help, you can get rid of discolouration.
How Are Crowns Attached to Teeth?

The process of placing dental crowns consists of several stages. First, a diagnosis is made. Next, the dentist determines the options of using the prosthesis. Next, X-rays are prescribed to examine the quality of the canals and roots. Professional teeth cleaning follow this. Removal of plaque allows choosing the shade most close to natural enamel.
In the next stage, the tissues of the tooth are prepared. The doctor removes cavities and processes and seals the canals. Next, the teeth are ground down. Then, an impression is taken, and subsequently, a model is cast. Finally, the orthopaedic structure is tried on, and later it is finally fixed.
Dental crowns can be attached in a variety of ways. The cement provides a secure grip. This material is malleable during application. After hardening, it becomes wear-resistant. Pins help to connect the crown to the root when the tooth is significantly damaged or almost completely destroyed.
What to Avoid Eating With a Metal-Ceramic Crown?
Metal-ceramic dental crowns are durable. However, eating very hard foods can lead to damage. This includes crackers, meat bones, dried biscuits, and nuts. It is also worth reducing the consumption of seeds and candies. In addition, it is advisable not to eat too cold or hot food.
Why Can Dental Crowns Be Harmful?
The danger of structures depends on the material. A significant drawback is a strong oxidation for prostheses made of nickel-chromium or nickel-palladium. The emitted elements are harmful to health. In recent years, hypoallergenic and safe prostheses have been used in dental practice.
Is It Possible to Put Cermet on Front Teeth?
Metal ceramics can be placed on the front teeth. They play an essential role in biting food but do not experience such loads as chewing. For this restoration, it is essential to maintain an aesthetic appearance. Therefore, dental crowns can match the enamel shade.
When Is Metal Ceramic Crowns Not the Best Option?
The most common contraindication is the presence of allergic reactions. At the diagnosis stage, the doctor discusses this with the patient. Metal-ceramic prostheses are not preferable for children and young adults. Until the age of sixteen, the dentoalveolar system is not completely formed yet. Thin, fragile walls become an obstacle to the procedure.
In addition, a descending bite and tooth abrasion can cause failure. Therefore, dentists choose a different restoration method. Temporary contraindications are inflammatory processes.
Installation of the structure is possible immediately after the treatment. However, it is recommended not to undergo the procedure in the first and third trimesters of pregnancy.

(477)
