Modern dentistry uses light-curing composites for fillings — complex polymers filled with silicon dioxide or glass particles. These materials allow us to create aesthetic and durable restorations, but they are not everlasting. According to a study published in the Journal of Esthetic and Restorative Dentistry, up to 15% of patients notice a change in the colour of composite restorations within the first 3–5 years of service.
Darkening is not just a cosmetic defect, but a marker of the material’s interaction with the environment or tooth tissue. In this article, we will discuss when a change in shade is simply a consequence of a love of coffee and when it signals hidden problems that require immediate medical intervention.

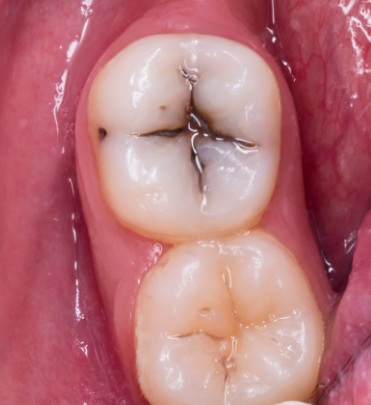
Darkening of fillings
External causes of filling discoloration
Most often, fillings change colour due to the adsorption of food dye (the deposition of colouring pigments on the surface of the material). Unlike natural enamel, composite has a microporous structure. Over time, the protective layer (‘dry gloss’) created by polishing becomes thinner.
- Food pigments. Coffee, red wine, and tea are the leading causes of staining. A study in the Scientific World Journal found that black tea causes more intense staining of composites than coffee, due to its higher tannin content.

Food colouring
- Smoking. Resins and combustion products form a dense film. Long-term smokers have a significantly increased risk of marginal staining of restorations — pigments penetrate the microgap at the tooth-filling interface, leading to visible darkening around the filling’s contour over time.
- Abrasive wear. The use of highly abrasive whitening toothpastes (RDA index above 100) creates micro-scratches on the surface of the composite. Plaque gets stuck in these scratches, turning into stubborn dark spots.
Internal problems: when discoloration is a sign of trouble
Internal problems: when darkening is a sign of trouble
If the filling has darkened not on the outside, but as if ‘from the inside’ or along the contour, this is a serious cause for concern. Here we deal with biological processes.
- Impaired marginal fit. This is the most dangerous cause. A microgap (microleakage) forms between the material and the tooth. Bacteria and oral fluid enter the area, and secondary caries develops. The edge of the filling looks like a thin, dark, or brown line.
- Pulp reaction. If the tooth has been deeply treated and a slow-moving, chronic process has begun in the nerve under the filling, the dentine may change to a greyish colour, which will show through the material.
- Oxidation of old materials. If you have amalgam (metal) fillings or old-generation chemically cured composites, they darken due to chemical instability.
How to understand the cause of discoloration
Before starting treatment, it is necessary to determine whether it is a stain or a disease.
Self-assessment at home
Take a regular toothpick and gently run it along the border between the filling and the tooth. If the tip ‘get caught’ or falls into the groove, the seal is broken. Also, pay attention to sensitivity: if the darkened tooth reacts to cold or sweet foods, the problem is clearly deeper than just coffee stains.
Professional diagnosis at the clinic
In the dentist’s chair, we use more accurate tools:
- Caries markers. Special dyes that stain only caries-affected tissue, leaving healthy tissue unaffected.
- Transillumination. Shining a powerful beam of light through the tooth. This allows hidden cavities and defects in the fit to be seen that the naked eye cannot detect.
- X-ray/CT scan. Allows you to rule out inflammation under the filling and assess the root condition.
What to do: 3 scenarios for solving the problem
It is not always possible to restore the colour of a filling. Fillings cannot be whitened with gels. If you decide to whiten your teeth, the filling will remain the same colour and will appear even darker against the light enamel.
Scenario 1: professional polishing
If the discolouration is superficial (pigment plaque), the dentist will clean it with the AirFlow system and then polish it with discs and pastes of varying grit sizes. This restores the material’s original shine and smoothness.
Scenario 2: refilling the tooth surface
In cases where the defect is small and there is no caries under the filling, the dentist may fill the tooth surface, remove the upper layer of composite that has changed, and apply a new adaptive layer. This saves time and tooth tissue.

Tooth surface filling
Scenario 3: complete replacement and restoration
If microleakage or secondary caries is diagnosed, there is only one solution — complete replacement. In the aesthetically significant area (front teeth), a direct restoration is used, in which the dentist mimics the dentine and the transparent edge of the enamel layer by layer, using several shades of composite.
How to prolong the whiteness of a filling: 5 rules from a professional
Prevention is cheaper than restoration. To keep your fillings invisible for as long as possible, follow these rules:
- Rule of gentle loading in the first 24 hours. Do not put pressure on a fresh restoration in the first 24 hours. Avoid hard foods (nuts, crackers, seeds) on the side of the new filling for 24 hours to reduce the risk of chipping and marginal failure.
- Control abrasiveness. Use toothpastes with an RDA of no more than 70. This will preserve the mirror-like shine of the restoration.
- Rinse after drinking dark-colored beverages. Had an espresso? Just rinse your mouth with water. This will reduce pigment concentration in the oral cavity by 60–70%.
- Professional polishing every six months. As part of a routine examination, the dentist should ‘polish’ the edges of the fillings. This removes micro-roughness, which traps plaque.
- Use of an irrigator. Good hygiene in the interdental spaces prevents darkening of the filling at the contact edges, where secondary caries most often begins.
If you notice discolouration or discomfort from the restoration, do not delay your visit to the dentist. At the Clinic of Aesthetic Dentistry, we use expert diagnostic methods to identify problems early and treat them with minimal intervention.
Make an appointment to maintain your teeth’s health and your confidence in your smile.


