Orthodontic treatment of pathological tooth abrasion

  1. After a complete examination, the patient was diagnosed with pathological erosion.
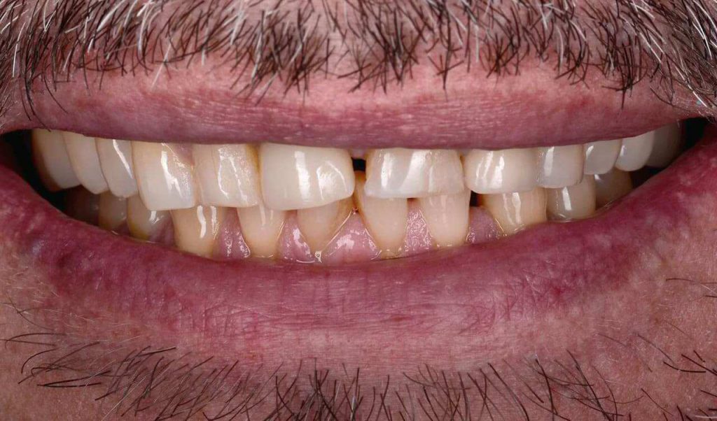
  1. The patient was fitted with zirconia crowns within a week.
  1. He was delighted with the aesthetic and functional result of the prosthesis.
  1. Pictures of the final result.
  1. Pictures of the final result.
  1. Pictures of the final result.
After a complete examination, the patient was diagnosed with pathological erosion.
Share: