Implant rehabilitation of a patient according to the All-on-4 protocol

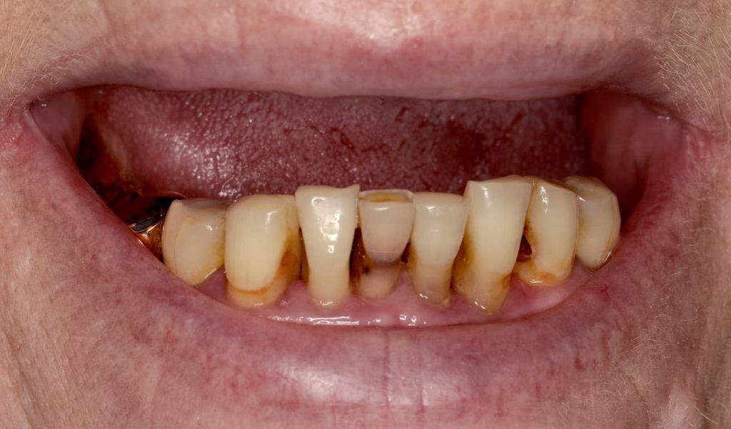
  1. The patient complained of partial tooth loss and the remaining severely decayed teeth. Frontal teeth on the upper jaw decayed to the gingival margin due to complicated caries.
  1. We proposed extracting all the teeth, placing four implants on each jaw, and fabricating screw-retained metal composite restorations.
  1. The orthopedic constructions were fixed one week after the teeth extraction and one-stage implantat procedure. The result was entirely satisfactory for the patient.
The patient complained of partial tooth loss and the remaining severely decayed teeth.

Frontal teeth on the upper jaw d…
Share: