How we treat tooth neck exposure in our Clinic:
First, the dentist checks the condition of your gums and measures the pocket depth. This allows for determining the disease progress. The specialist also checks the degree of tooth mobility.
Next, the hygienist removes dental deposits.
Professional tooth cleaning reduces the number of bacteria in the mouth. Sometimes, we prescribe antibiotic therapy and additional chlorhexidine treatment.
If the degree of recession is severe, we perform surgical closure with various types of grafts.

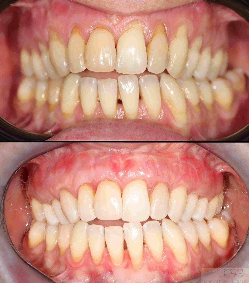
Tooth Neck Exposure photo
Why the neck of the tooth is exposed
The most common cause of the condition is gum trauma caused by overly thorough oral care with a firm toothbrush and frequent use of toothpicks and dental floss. Orthodontic treatment can also cause recession. Due to the pressure on the bone tissue, in some cases, the gums are thin, and plaque builds up under the orthodontic appliance, leading to inflammation.
Why Tooth Roots Get Exposed

A healthy gingival margin of the tooth is a smooth circle without bumps and of pinkish color. When the pathological process influences periodontal tissues, the gingiva may puff up, become swollen, and change its color – it may become bright red or, on the contrary, unnaturally pale. The more the gum atrophies, the more the tooth’s root will be visible.
The yellow shade of the root is very different from the color of the enamel, and when smiling, you can easily notice the beginning of the pathology. A sneaky disease – gingival recession, is rarely accompanied by pain. And if nothing hurts, patients perceive the process as an inevitable age-related change and do not rush to the dentist. Doctors have to deal with neglected cases when it is unrealistic to turn back time. Therefore, don’t neglect the treatment of periodontal disease.
You can suspect gum recession in other cases:
- sensitivity to acidic, spicy, cold, and hot food.
- a patient may have pain even opening the mouth in the cold;
- pain when brushing teeth and biting down on hard foods;
- an increase in the visual length of the teeth and the distance between them.
Root exposure is dangerous as, starting in one tooth, the process quickly spreads to the neighboring area. And the more advanced the process, the harder it is for the doctor to deal with. So you should see a dentist at the first sign of recession.
Exposed Tooth Neck: Consequences

Many people who suffer from this condition have another question – what can be the consequences of tooth-neck exposure? Some people believe that it does not allow in any way to cause any harm to the body. But these people are wrong – the damage is significant, especially to the oral cavity.
When the neck of the tooth is exposed, there is an additional pathway for bacteria that get directly into the periodontal tissue and infect a large area of tissue. As a result, you have problems with not just one but a whole row of teeth, which you’ll need to treat afterward.
Another consequence is that it is aesthetically unpleasing. That is why treating such a disease in the oral cavity is necessary to show everyone that your dental health is fine.
Therapeutic treatment: how can gum recession be effectively treated?

Proper and regular dental care is essential in preventing gum disease. Gum recession is almost always caused by poor or improper oral hygiene.
Keep the following points in mind when preventing gum recession:
Brush your teeth every morning and evening.
In particular, floss your crooked teeth.
Ask your dentist what kind of toothbrush they recommend and review your brushing technique together.

Tooth Neck Exposure photo
Dentists recommend professional teeth cleaning twice a year to reduce plaque in hard-to-reach areas.
According to studies, patients who smoke have a 5-6 times increased risk of developing periodontal disease and recessions. It is essential to minimize the number of cigarettes.
If you suffer from hormonal diseases such as diabetes, you should ensure that your blood sugar levels are optimally controlled. This also reduces the risk of gum recession.

(1,416)