Як ми лікуємо оголення шийки зуба в нашій Клініці:
Спочатку стоматолог перевіряє стан ясен та вимірює глибину ясеневих кишень. Це дозволяє йому визначити наскільки далеко зайшло захворювання. Він також перевіряє ступінь рухливості зубів.
Далі гігієніст знімає зубні відкладення.
Професійна чистка зубів зменшує кількість бактерій у порожнині рота.
Іноді ми призначаємо антибіотикотерапію та додаткове лікування хлоргексидином.
При вираженому ступені рецесії ми проводимо їх хірургічне закриття різними видами трансплантатів.

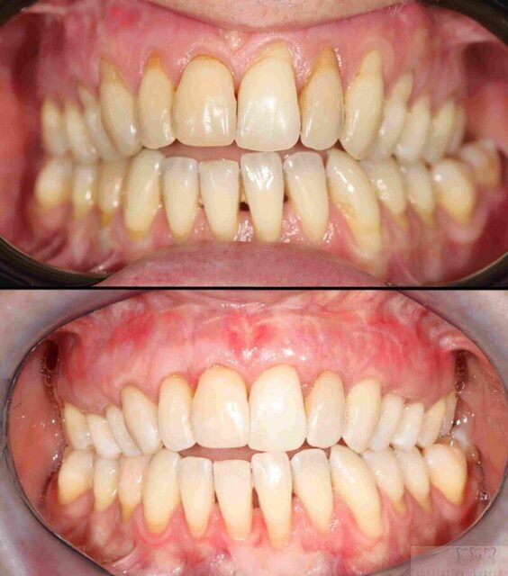
Оголення шийки зуба фото
Чому оголюється шийка зуба
Найчастіша причина захворювання – травма ясен, що обумовлена надто ретельним доглядом за порожниною рота за допомогою жорстких щіток, частим використанням зубочисток і міжзубних ниток. Спричинити рецесію також може ортодонтичне лікування. Через тиск на кісткову тканину в деяких випадках відбувається стоншення ясен і скупчення нальоту під ортодонтичною конструкцією, що призводить до розвитку запального процесу.
Чому оголюються корені зубів

Здоровий ясеневий край зуба має вигляд рівного кола без горбків, рожевого відтінку. Коли тканини пародонту захоплюють патологічний процес, ясна можуть припухнути, стати набряклими на вигляд, змінити свій колір – можуть стати яскраво червоними, або навпаки, неприродньо блідими. Чим більше ясна атрофуються, тим виразніше буде видно корінь зуба.
Жовтий відтінок кореня сильно відрізняється від кольору емалі і при усмішці можна легко помітити початок розвитку патології. Рецесія ясен рідко коли супроводжується болем. А якщо нічого не болить, пацієнти сприймають процес як неминучу вікову зміну та не поспішають до стоматолога. Лікарям доводиться мати справу із занедбаними випадками, коли повернути час назад неможливо. Тому ніколи не запускайте лікування пародонтозу.
Запідозрити рецесію ясен можна й іншими способами:
- чутливість до кислих, гострих, холодних та гарячих продуктів;
- пацієнту може бути боляче навіть відкривати рота на холоді;
- біль при чищенні зубів та відкушуванні твердої їжі;
- збільшення візуальної довжини зубів та відстані між ними.
Оголення кореня небезпечне тим, що, починаючи з одного зуба, процес швидко поширюється на сусідню область. І чим більш занедбаний процес, тим важче лікареві з ним впоратися. Тому за перших ознак рецесії слід звернутися до стоматолога.
Оголення шийки зуба – наслідки

У багатьох людей, які страждають на таку недугу, закрадається інше питання – які можуть бути наслідки при оголенні шийки зуба, оскільки деякі вважають, що це не може завдати ніякої шкоди організму. Але як ці люди помиляються – шкода завдається істотна, особливо порожнині рота.
При оголенні шийки зуба з’являється додатковий прохід для бактерій, які через це потрапляють безпосередньо в тканини пародонту, тим самим заражається велика площа тканини. В результаті у вас виникають проблеми вже не з одним, а цілим рядом зубів, які слід обов’язково лікувати після цього.
Іншим наслідком стане те, що це естетично негарно. Саме тому лікування такого захворювання – необхідна процедура, щоб показати всім, що у вас зі здоров’ям зубів все гаразд.
Терапевтичне лікування: як можна ефективно лікувати рецесію ясен?

Правильний та регулярний догляд за зубами – це головне у запобіганні захворювань ясен. Причиною рецесії ясен майже завжди є погана чи неправильна гігієна ротової порожнини.
Для попередження рецесії ясен пам’ятайте наступні моменти:
Чистіть зуби зранку та ввечері
Зокрема, зуби, що криво ростуть, чистіть зубною ниткою.
Запитайте у свого стоматолога, яку зубну щітку рекомендується використовувати і разом перевірте вашу техніку чистки зубів.

Оголення шийки зуба фото
Стоматологи рекомендують професійну чистку зубів двічі на рік, щоб зменшити наліт у важкодоступних місцях.
Згідно з дослідженнями, у пацієнтів, що палять, ризик розвитку пародонтозу і виникнення рецесій збільшується в 5-6 разів. Необхідно мінімізувати кількість цигарок.
Якщо ви страждаєте гормональними захворюваннями, такими як діабет, вам слід забезпечити оптимальний контроль рівня цукру в крові. Це також знижує ризик рецесії ясен.

(2,539)
