Missing teeth (edentulism) is a severe problem that significantly reduces a person’s quality of life. The cosmetic defect forces you to limit your smile, cover your mouth when speaking, and avoid public presentations and new acquaintances.
Edentulism is accompanied by discomfort when chewing food and, over time, leads to severe disorders of the dental and maxillofacial system. Fortunately, modern dentistry has effective prosthetic options that can help restore any number of missing teeth.

What Is Edentulism?
The term “edentulism” refers to all cases of missing teeth. According to the number of lost teeth, there are two forms of the condition:
- partial – the absence of several teeth in a row or different parts of the jaw;
- complete – absence of all teeth on the upper and/or lower jaw.
Complete edentulism is quite rare. This condition is mainly observed in older people who have neglected dentist’s checkups for a long time and have not had their teeth treated.
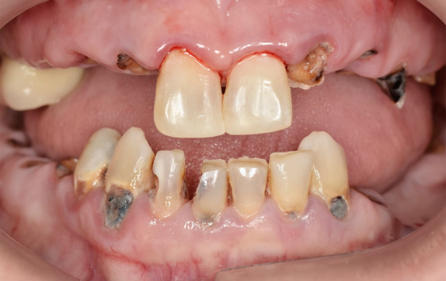
Partial edentulism is widespread in all age groups: in Ukraine, 80% of people over 40 years of age face the loss of at least one tooth.
Difference Between Primary and Secondary Edentulism
Primary edentulism, a congenital pathology, is characterized by the absence or death of tooth rudiments. This condition, which can be partial or complete, is primarily caused by genetic and prenatal pathologies. It often presents with other anomalies such as cleft lip and palate, underdevelopment of the jawbone, and anomalies of the facial skull.
Secondary edentulism is an acquired pathology caused by losing normally erupted and functioning teeth. It is much more common, mainly occurring in middle-aged and older people. The secondary form of the disease is not associated with dentoalveolar anomalies or other congenital problems.
Causes of Edentulism
Primary complete edentulism is caused by a genetic disease called ectodermal dysplasia. The disease affects not only the rudiments of the teeth but also the skin, hair, and nails.
Typical features accompany it, so it is diagnosed at an early age. The cause of partial or complete death of dental rudiments can be negative factors acting on the fetus during pregnancy:
- prenatal infections;
- hypoxia;
- teratogenic chemical or physical influences;
- hypovitaminosis;
- disorders of phosphorus-calcium metabolism in the mother-to-be.
Secondary edentulism has various causes:
- Complicated caries. The carious process gradually destroys dentin and spreads to the root canals and peri-dental tissues, so in neglected cases, the tooth cannot be saved.
- Periodontitis: The defeat of the tissues that hold the tooth in the bone cavity leads to tooth loosening and loss of the dental unit.
- Trauma. Blows to the jaw are fraught with a fracture of the crown under the gum and damage to the bone bed for the tooth roots, causing a person to lose several teeth.
- Diseases of the jawbone. Tumours, abscesses, osteomyelitis, and other diseases of the alveolar process of the jaw can destroy teeth and cause tooth loss.
- Poor treatment has consequences. Tooth loss is possible in cases of poor-quality root canal treatment in pulpitis and violations of the technique of tooth-preserving operations (root apex resection, cystectomy, coronoradicular separation).

Treatment of Edentulism
Modern approaches to prosthetics
There are three main ways to restore the beauty and functionality of the dentition:
- Removable dentures are prosthetic structures with various external fixation systems that the patient can remove and put on independently at home.
- Bridges are fixed prostheses attached to the supporting teeth with crowns. They are used when no more than two neighbouring teeth are missing.
- Fixed implant prostheses are the most physiological and modern option for treating edentulism, and they can be used to restore any number of lost teeth.
A dentist chooses the treatment method individually for each patient. The type and degree of edentulism, the presence of concomitant diseases, the condition of the remaining teeth, wishes, and financial possibilities are considered when developing a reconstruction procedure of the dentition.

Fixed and Removable Dentures: Pros and Cons
According to the materials and design, removable dentures are divided into burette plates, acrylic, nylon, Acry Free, Quattro Ti, immediate implants. The advantages of this method of prosthetics include:
- affordable price;
- variety of designs and materials;
- the ability to use in all variants of partial and complete edentulism;
- minimal restrictions on age and health conditions;
- quick fabrication;
- no need for surgery and grinding of neighbouring teeth.
Removable prostheses are not without disadvantages, so now they are not considered the best method of restoring the integrity of the tooth row. The main disadvantage of such structures is the incorrect distribution of chewing load. Because of this, neighbouring teeth are subjected to excessive mechanical pressure, and atrophic processes continue in the bone.
Removable appliances can be visible when talking and smiling, and their external attachments often cause discomfort when eating and speaking.
A modern option for prosthetics for edentulism is the placement of prosthetic structures on dental intraosseous implants. Implantation has many advantages:
- natural-looking teeth;
- comfort during chewing;
- fast period of adaptation;
- preservation of bone volume;
- easy maintenance of dentures;
- long service life.

Despite several advantages, fixed implant prosthetics have disadvantages. Since implantation is a surgical procedure, it is unsuitable for all patients.
The procedure is not performed in case of blood clotting disorders, decompensated diabetes mellitus, severe immunodeficiency states, or exacerbation of chronic diseases of internal organs.
Implants are more expensive than other methods of treating edentulism, but the quality and durability of prostheses fully justify their price.
Final Recommendations for the Treatment of Edentulism
The longer a person has been missing teeth, the higher the risk of severe complications. With long-term edentulism, the structure and relationship of the dentoalveolar system change. This causes limitations in the choice of prosthetic methods and in predicting their effectiveness.
The best results can be achieved if treatment is started in the first months after tooth loss. If surgical removal of a tooth unit is indicated, doctors immediately discuss smile reconstruction options with the patient.
KES’s experienced orthopaedic dentists and implantologists successfully treat edentulism of any degree of severity. Please contact us for an aesthetic and durable prosthetic result.

(145)
