Treatment of a damaged tooth containing periodontitis

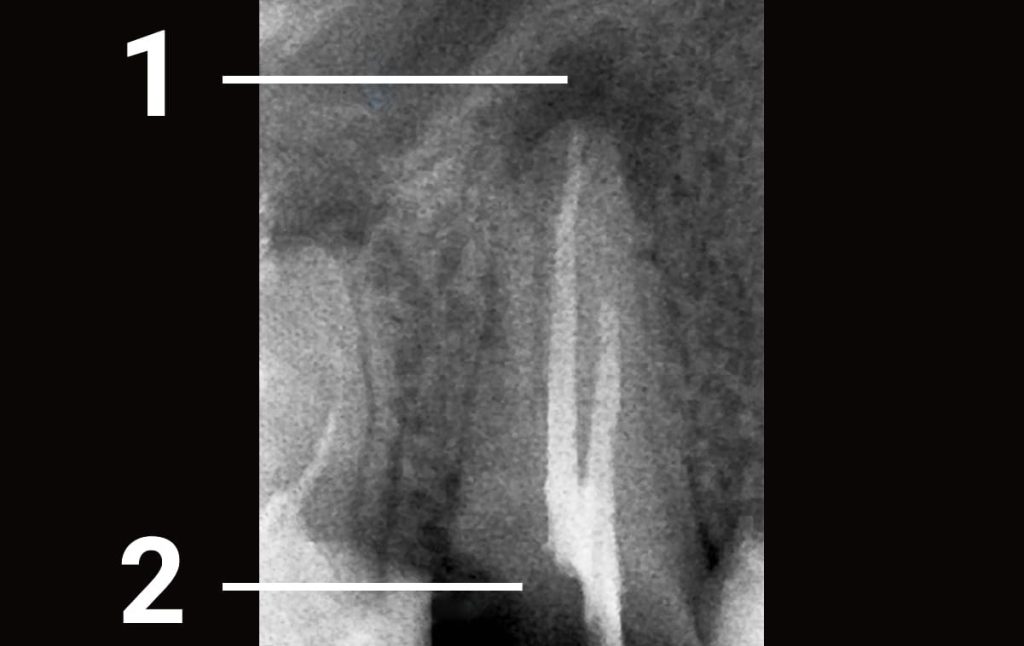
  1. The patient contacted the clinic due to tooth decay, which was previously treated in another clinic. Some damaged bone tissue was discovered on the top of the root canal. 1 - bone tissue was damaged due to an incomplete treatment of the root canal 2 - crown of the tooth is damaged
  1. Treatment of the root canals was performed, the canals were filled and the root was restored using fibreglass pins. 3 - root canals after sealing
  1. A further test was carried out 9 months after the procedure and revealed that the bone tissue in the apex of the tooth was restored. 4 - The bone tissue restored nine months after the procedure. 5 - The tooth crown was restored using fibreglass pins.
The patient contacted the clinic due to tooth decay, which was previously treated in another clinic. Some damaged bone t…
Share: