Emergency Endodontics as a Consequence of Untreated Cavities

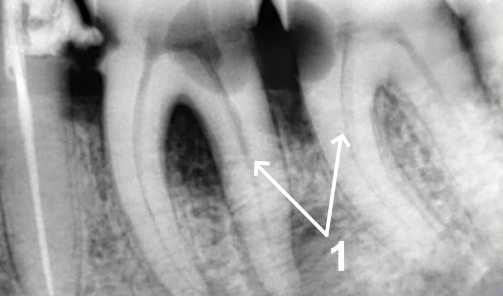
  1. A patient complains of increasing nagging pain in the lower jaw teeth (36, 37 teeth), which intensifies after eating cold food or when food gets stuck between the teeth. 1 - A focused X-ray shows a cavity on two teeth. The decay was not treated in time, which resulted in pulp infection in the root canals - an absolute indication for endodontic treatment. Root canal treatment was performed in one visit under local anesthetic.
  1. Sealing of the root canals - a guarantee for a positive prognosis. A crown restoration with photopolymer, recommendations on home oral care with a focus on interdental spaces as prevention of such diseases. 2 - Check-up X-ray after root canal filling.
A patient complains of increasing nagging pain in the lower jaw teeth (36, 37 teeth), which intensifies after eating col…
Share: