Replacement of restorations with teeth discoloration for ceramic veneers

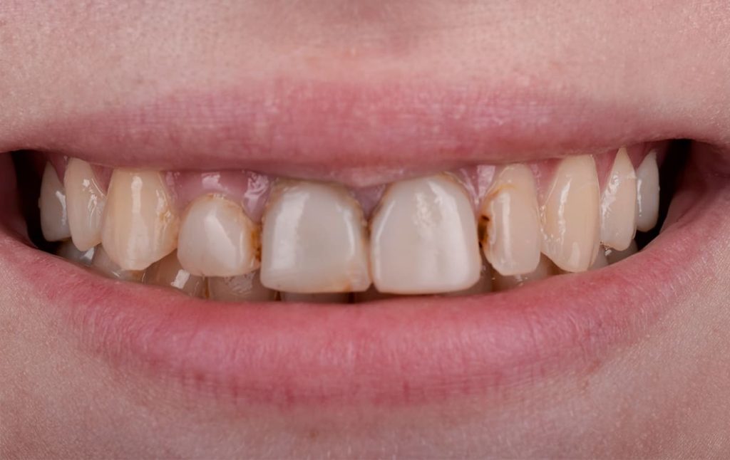
  1. The situation at the start of the treatment.
  1. The patient wasn’t satisfied with the color and the form of teeth.
  1. Ceramic veneers were made during a period of 8 days and were fixed in the patient’s mouth.
  1. The final result.
  1. The final result.
The situation at the start of the treatment.
Share: