Replacement of inappropriate photopolymer restorations for ceramic veneers

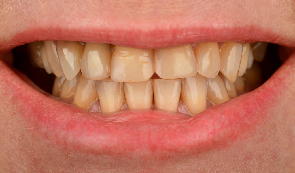
  1. Patient contacted our clinic with the desire to replace old photopolymer restorations.
  1. She was not satisfied by the availability of chips on fillings, teeth shape and its color.
  1. After discussing prosthesis options, we decided to replace fillings on the front teeth of the upper jaw for ceramic veneers.
  1. In 10 days, veneers have been fixed in the mouth.
  1. Patient is fully satisfied by the result.
Patient contacted our clinic with the desire to replace old photopolymer restorations.
Share: