Rehabilitation according to the All-on-6 protocol: implantation and prosthetics with zirconium crowns

  1. The Patient had been using a removable prosthesis on the upper jaw for many years, where all the teeth were missing.
  1. After agreeing on the treatment plan, implantation was performed: six dental implants were placed on the upper jaw according to the “All-on-6” protocol.
  1. On the lower jaw significant mobility of the teeth was observed in the frontal area and the first molars were missing.
  1. After removing the four lower incisors, implants were installed in the area of ​​the second incisors and first molars.
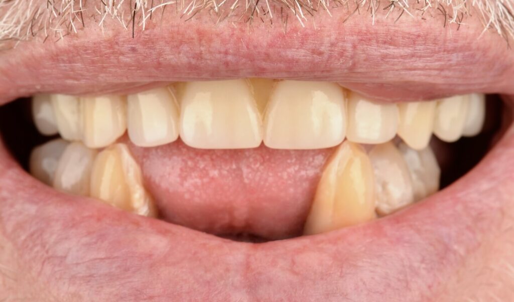
  1. Four months later, prosthetics with zirconium crowns on implants were performed, which ensured the
  1. Implantation scheme.
The Patient had been using a removable prosthesis on the upper jaw for many years, where all the teeth were missing.
Share: