Extensive endodontic treatment of an inflammation that prevented a tooth extraction

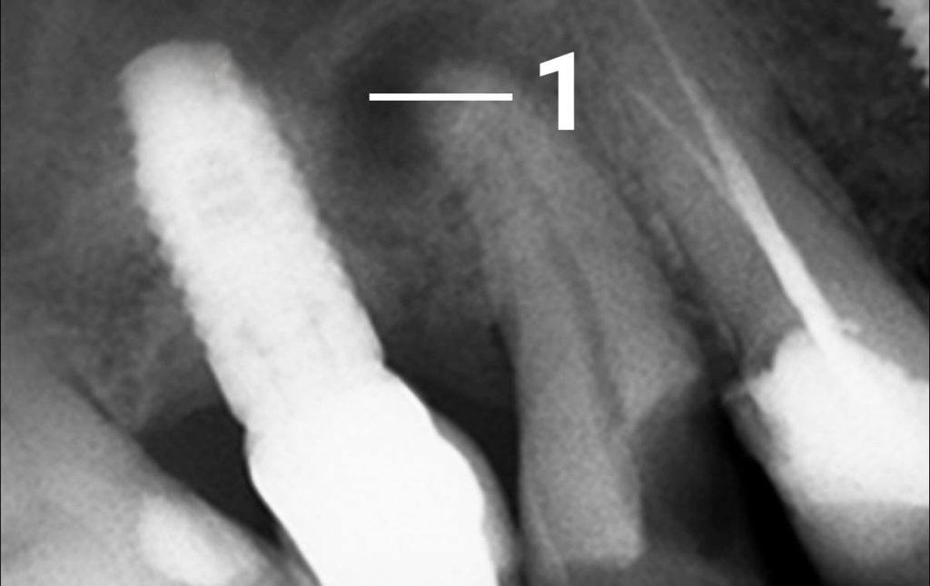
  1. The clinic was contacted by a patient who had a long-term dental issue. X-ray analysis showed the presence of a long-standing inflammation at the apex of a root, which appeared in the picture as a dark spot with a clear outline. Previously, this issue would have been resolved by a removal of the tooth in question. 1 – the central point of damage with clear contours
  1. Endodontic treatment was performed which included an extension and thorough disinfection of the root canal. The canal was later sealed with a filling. 2 - the filling material in the channel
  1. A follow up examination four months later showed that the bone tissue in the apex of the tooth fully recovered and the tooth no longer caused any discomfort to the patient. 3 - the recovered bone tissue four months following the treatments (the dark spot and surrounding lines are no longer visible)
The clinic was contacted by a patient who had a long-term dental issue. X-ray analysis showed the presence of a long-sta…
Share: