Carrying out endodontic treatment

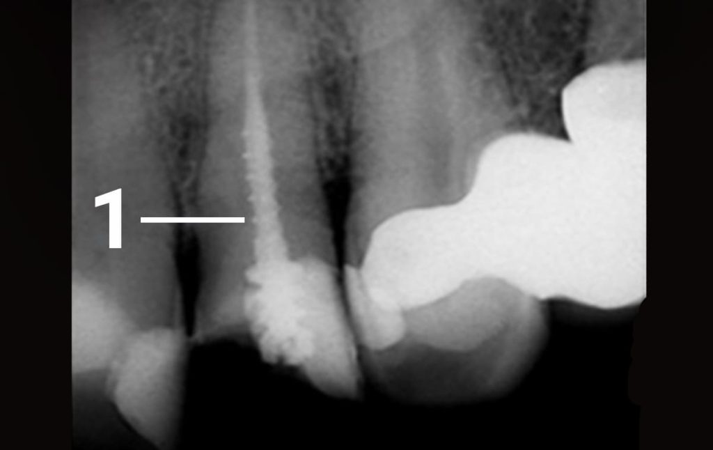
  1. A 50-year old patient contacted our clinic complaining of a crack in a filling located in his upper jaw which appeared following an injury. The tooth was previously treated in a different clinic. Following an inspection of the tooth, it was decided that the root canal needed to be treated again. 1 - metallic pin in the tooth canal
  1. The endodontic treatment was performed under anaesthesia. The root canal was unsealed and checked with a follow up X-ray photo. 2 – destruction of the bone tissue due to an incomplete treatment of the root canal 3 – a tool used to monitor the complete passage through a root canal
  1. Endodontic treatment completed. The tooth is prepared for further prosthetics. 4 – the root canal is sealed
A 50-year old patient contacted our clinic complaining of a crack in a filling located in his upper jaw which appeared f…
Share: