Total prosthetics with zirconia crowns in 5 days

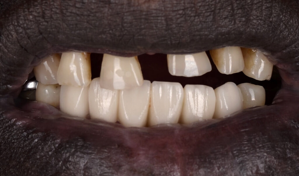
  1. A patient from abroad contacted us with a request to change the shape, color and position of his teeth.
  1. He was concerned about the spaces between his teeth, their size and the overall aesthetics of his smile.
  1. We offered total prosthetics with the zirconia crowns solution. The peculiarity of the work was the significant deviation of the teeth from the correct position, as well as the limited time frame for treatment.
  1. In just five days, the crowns were made and fixed, which allowed the patient's smile to be completely transformed.
  1. The patient was completely satisfied with the result.
A patient from abroad contacted us with a request to change the shape, color and position of his teeth.
Share: