Implant treatment to a patient with significant tooth loss due to severe caries

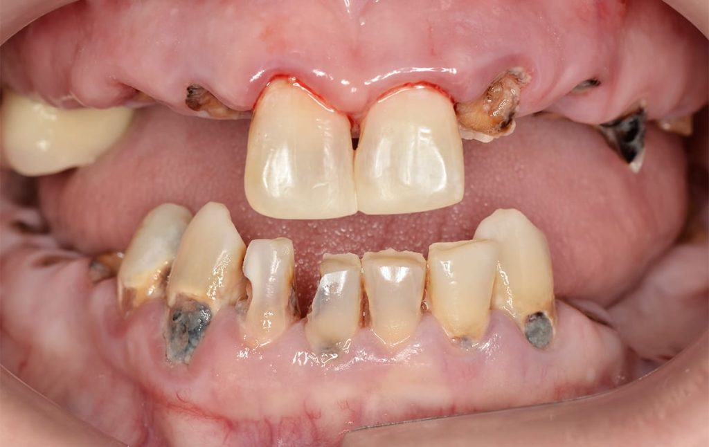
  1. A patient from the USA came to our clinic requiring dental service. All her life she had a fear of having dental treatment. Most of the teeth were destroyed below the gingival margin, and the remaining teeth were affected by caries.
  1. The patient felt low self-esteem while having a conversation and was embarrassed to smile. The patient’s desire was to have beautiful teeth, the ability to chew properly and change the shape of her face due to teeth reconstruction. After agreeing on a treatment plan, dentists began dental rehabilitation.
  1. The dentists carried out the following treatment: the remaining teeth were removed applying intravenous sedation (sleep-like state during surgery), 6 dental implants in the upper jaw and 6 dental implants in the lower jaw were installed respectively, temporary crowns were fixed the same day.
  1. After four months, impressions were taken and Prettau (Zirkonzahn) implant-supported screw-retained full anatomical zirconium crowns were manufactured for both jaws.
  1. After four months, impressions were taken and Prettau (Zirkonzahn) implant-supported screw-retained full anatomical zirconium crowns were manufactured for both jaws.
  1. Four months later, a repeat visit to the dentist for a check-up and decontamination (hygiene procedure) showed stable results.
A patient from the USA came to our clinic requiring dental service. All her life she had a fear of having dental treatme…
Share: