Treatment of distal overbite

  1. Diagnosis: distal overbite, sagittal slit of 14 mm, narrowing of tooth rows and side portions of the upper and lower jaws, overcrowding.
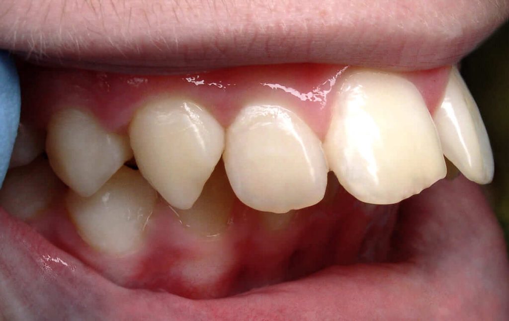
  1. One of the stages of treatment. Changing the shape of the dental arches, alignment of the dentition, sagittal gap decreased by 5mm
  1. Completion of treatment on the upper jaw. Retainer.
  1. Final result. Duration of treatment – 18 months.
Diagnosis: distal overbite, sagittal slit of 14 mm, narrowing of tooth rows and side portions of the upper and lower jaw…
Share: