За статистикою, 9 з 10 людей мають неправильний прикус. Він проявляється по-різному: передні зуби виступають вперед, зубні ряди частково або повністю не змикаються, нижня щелепа зсунута назад і т. д. Близько 2-3% населення страждають від перехресного прикусу – стану, коли один або кілька зубів нижнього ряду перекривають верхні, а зубні ряди перетинаються навхрест. Далі ви дізнаєтеся, як у клініці КЕС можна виправити нерівності зубів та отримати естетичну здорову усмішку.
Види перехресних прикусів – класифікація та прояви аномалії
За анатомічними особливостями буває 3 варіанти прикусу:
- Буккальний. Виникає при вузькій або недорозвиненій верхній щелепі, через що нижній ряд зубів виявляється відносно широким і перекриває деякі зубні одиниці у верхньому ряду.
- Лінгвальний. Спостерігається за протилежної ситуації – зменшенні розмірів нижнього зубного ряду та/або щелепної кістки.
- Змішаний. Поєднує у собі симптоми обох аномалій і вважається найбільш складним для корекції.
Кожен із варіантів буває одностороннім та двостороннім. До перехресного прикусу також належать випадки, коли лише один нижній зуб перекриває відповідний верхній. Цей варіант вважається найбільш сприятливим та легко піддається виправленню.

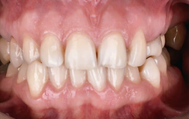
Головний прояв аномалії – видимий перехрест кількох зубів, який завдає естетичного дискомфорту і створює труднощі при пережовуванні їжі. Іноді патологія супроводжується значною зміною розмірів та структури щелепи, спостерігається асиметрія обличчя, відхилення підборіддя вбік, западання однієї зі щік. Можливі проблеми з артикуляцією, прикушування язика та слизової оболонки порожнини рота.
Причини появи перехресного прикусу
Вроджені форми аномалії спричинені порушеннями на етапі внутрішньоутробного формування щелеп та зубних зачатків. Такі патології обумовлені обтяженою спадковістю, різними генетичними синдромами.
Набутий перехресний прикус виникає під впливом різних причин:
- порушення термінів та послідовності випадання молочних зубів;
- ЛОР-хвороби (аденоїдит, хронічний риніт, гайморит), які викликають закладеність носа та звичку дихати ротом;
- шкідливі звички у дитинстві: смоктання пальця, прикушування губи;
- підвищене стирання зубів;
- втрата зубів у результаті запущеного карієсу, пародонтиту;
- травми обличчя;
- захворювання скронево-нижньощелепного суглоба (СНЩС);
- викривлення в ділянці шийних хребців.

Перехресний прикус: види, ознаки, причини, лікування та профілактика фото
Стадії формування перехресного прикусу
Етапи розвитку аномалії залежать від її причини. Зубоальвеолярний варіант патології починається з аномального прорізування, зміщення або втрати зубів. При цьому щелепи мають фізіологічне положення та розміри. Якщо стан вчасно помітити та скоригувати, патологія далі не розвивається. В іншому випадку аномалія розвивається на кшталт скелетної, при якій порушується конфігурація щелепи, виникають лицьові асиметрії.
Скелетний перехресний прикус може бути самостійною формою патології. Це притаманно для вродженого недорозвинення щелепної кістки чи порушення її структури внаслідок травми, операції.
Діагностика прикусної аномалії

Встановлення діагнозу починається з консультації стоматолога-ортодонта та огляду ротової порожнини. При супутніх проблемах зі СНЩС та порушеннях жувальної функції рекомендується відвідати гнатолога.
Щоб визначити вид аномалії, проводяться інструментальні дослідження:
- ортопантомограма – панорамний знімок, який відображає весь зубний ряд і навколишні тканини;
- КТ щелепи – високоточний метод, який дозволяє зробити 3D реконструкцію та комплексно оцінити стан зубощелепної системи.
Наслідки перехресного прикусу
Для багатьох пацієнтів вирішальну роль відіграє естетична недосконалість усмішки, особливо якщо перехрест зачіпає різці та ікла. Людина соромиться спілкуватися з людьми, уникає публічних виступів, не усміхається на фотографіях, комплексує під час побудови відносин з протилежною статтю.
Перехресний прикус негативно позначається на здоров’ї зубощелепної системи, викликає ускладнення, такі як:
- сколи емалі та підвищене одностороннє стирання зубів;
- швидке утворення зубного нальоту через складності при чищенні зубів;
- високий ризик розвитку карієсу та пародонтиту;
- передчасна втрата зубів;
- болі при жуванні та розмові, спричинені перевантаженням м’язів, вторинною патологією СНЩС;
- дефекти мовлення, що особливо помітні при вродженій патології.
Виправлення перехресного прикусу
Враховуючи кількість та серйозність наслідків для зубощелепної системи, перехресний прикус потрібно коригувати якомога раніше. Після лікування пацієнт отримує естетичну усмішку, позбавляється проблем і дискомфорту під час пережовування їжі.

Виправлення прикусу дітям
У дітей щелепні кістки та корені зубів більш піддатливі, тому всі види ортодонтичного лікування проходять значно простіше. Якщо перехресний прикус викликаний неправильною зміною чи викривленням окремих зубів, показані наступні методи ортодонтії: пластинки, брекет-системи, дитячі елайнери. Можуть знадобитися заняття з логопедом і психологом, щоб виправити проблеми з дикцією та позбутись шкідливих звичок.
При значному звуженні верхньої щелепи призначається більш складне лікування із застосуванням піднебінних розширювачів. Вони збільшують ширину, площу піднебінного простору і створюють місце для правильного положення постійних зубів.
Виправлення прикусу у дорослих
Лікування можливе у будь-якому віці. Лікарі використовують 2 основні методи:
- Ортодонтичне лікування з встановленням брекетів або прозорих кап – елайнерів. Корекція аномалії займає близько 2 років, в окремих випадках потрібно до 3 років.
- Ортогнатична хірургія – операції для виправлення положення щелеп. Оперативне втручання призначається у складних випадках перед початком ортодонтичної корекції.
Щоб лікування було успішним та комплексним, по можливості усувають причину аномалії прикусу. При патології СНЩС призначають суглобову шину, вправи для жувальних м’язів. Для усунення дефектів зубного ряду проводиться протезування чи імплантація.

Перехресний прикус: види, ознаки, причини, лікування та профілактика фото
Хірургічне лікування
Операції необхідні для корекції форми і розмірів щелепи при скелетному варіанті аномалії. Основна методика – остеотомія верхньої чи нижньої щелепи. Щоб виправити асиметрію обличчя та викривлення підборіддя, можуть призначати геніопластику. Тактика операції підбирається лікарем індивідуально за результатами обстеження.
Виправлення прикусу з використанням брекетів
Брекет-системи – найпоширеніший і найефективніший спосіб корекції перехресного прикусу. Металеві конструкції дозволяють правильно розташувати зуби в ряду, досягти фізіологічного змикання щелеп, виправити перехрещення окремих зубів.

Брекети використовують для корекції постійних зубів. Вони застосовуються у підлітків після зміни прикусу та дорослих без обмежень за віком. Для закріплення досягнутого ефекту після лікування встановлюють ретейнери, які непомітні при усмішці та зручні в носінні.
Ускладнення під час лікування перехресного прикусу
Першочергове завдання ортодонта – відновити нормальне положення щелепи та вирівняти зубний ряд. Однак у процесі лікування людину можуть турбувати болі у скроневій зоні, бути проблеми з жуванням через поступове зміщення зубів та інші ускладнення.
Лікар комплексно підходить до терапії та підбирає індивідуальну програму, яка включає додаткові методи:
- спеціальну гімнастику;
- прийом знеболювальних препаратів;
- корекцію харчування.

Перехресний прикус: види, ознаки, причини, лікування та профілактика фото
Профілактика прикусних аномалій
Якщо перехресний прикус обумовлений вродженими аномаліями зубощелепної системи, заходів профілактики немає. Головне завдання – вчасно звернути увагу на аномальне положення зубів у дитини, привести її до ортодонта для підбору лікування.
Щоб знизити ризик розвитку перехресних аномалій протягом життя, потрібно:
- дотримуватись правил домашньої гігієни зубів;
- своєчасно звертатися до лікаря для лікування карієсу;
- кожні півроку приходити на профілактичний огляд;
- раз на півроку робити професійну чистку порожнини рота.
Важливо своєчасно лікувати патології носового дихання, позбавлятися шкідливих звичок.

(432)
