Коронка — это ортопедическая конструкция. Она помогает восстановить частично разрушенный зуб. Благодаря технологиям можно подобрать натуральный цвет. С помощью коронки меняют форму и положение зубов. Протезы изготавливаются из прочных материалов.
Металлокерамика на передние зубы

Металлокерамические коронки благодаря высокой прочности и износостойкости служат более десяти лет. Они позволяют восстановить функциональность зубов и вернуть эстетический вид улыбке.
Основа протеза — опорный остов, который покрыт керамическими компонентами. С помощью добавления красителей они приобретают необходимый цвет. Возможно подобрать оттенок, полностью совпадающий с натуральной эмалью.
Готовый материал изготавливается с использованием драгоценных или неблагородных металлов.Каркас обычно делают из кобальт-хромового сплава. Цена на изделия зависит от состава.
Металлокерамические коронки используют для реставрации фронтального ряда. Крепкое основание и керамическое покрытие обеспечивают качество протеза. Метод подходит как при частичном, так и при полном отсутствии передних зубов. Процедура может выполняться при повышенной стираемости тканей и даже средней степени пародонтита.
Как снимают коронку с зуба?
Ортопедическая конструкция снимается после истечения срока эксплуатации. В среднем этот показатель 15 лет. Причиной для преждевременного проведения процедуры может стать наличие воспаления под конструкцией. Из-за несоблюдения правил носки встречается разрушение цемента, который держит коронки.
Стоматологи по необходимости стремятся сохранить протез. Иногда удалить коронку можно с помощью специального инструмента. Однако высокая жесткость изделия определяет главный метод снятия — распиливание. Способ обеспечивает безопасность для здоровой части зуба. При распиливании повторное использование невозможно.
Циркониевые коронки или металлокерамика?

Металлокерамические коронки функциональные и надежные. Послойное нанесение керамики обеспечивает эстетический внешний вид. Существует три основных типа:
- Классическая коронка изготавливается из сплава кобальтхрома, который покрывается керамикой.
- На укрепленные материалы дополнительно наносится слой керамики. При этом отсутствует взаимодействие с мягкими тканями десны.
- Так же изготавливают из золота, серебра и платины не окисляются. Эти металлы редко вызывают аллергическую реакцию и не окисляются.
Преимущества металлокерамики заключаются в долгом сроке службы, доступной цене.
Зубная коронка из диоксида циркония универсальна. Особенности материала позволяют воссоздать цвет и текстуру натурального зуба. Основная характеристика циркония:
- Устойчивость к высоким нагрузкам.
- Биосовместимость. Цирконий имеет хороший уровень приживаемости.
- Возможность протезирования резцов, клыков, премоляров и моляров говорит об универсальности.
- Срок эксплуатации в среднем составляет 10-15 лет.
- Практически полное отсутствие противопоказаний.
И циркониевые, и металлокерамические зубные коронки эффективны. Они обладают прочностью и износостойкостью. При отсутствии аллергии на металл возможно выбрать любой из материалов.
Для долгой носки необходимо следить за гигиеной ротовой полости. Также увеличивает срок службы отказ от излишне твердой пищи, курения. При соблюдении правил коронка может сохранять свой первоначальный вид в течении 10-15 лет.
В каком случае нужно ставить коронку на зуб?
Зубная коронка защищает ткани. Она ставится в таких случаях:
- Восстановить естественную коронку с помощью художественной реставрации и других способов невозможно.
- Желание исправить дефекты зубов.
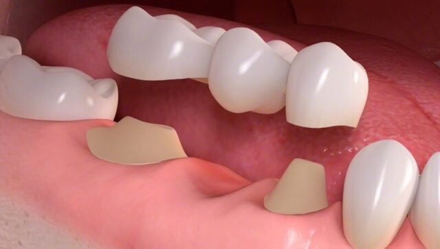
- При установке мостовидных протезов.
- Кариесом разрушено более половины естественного зуба.
- Травмирование без повреждения корня.
- Стремление минимизировать проявления пародонтита.
Обычные пломбы плохо справляются с жевательной нагрузкой. При их установке есть риск выпадения или поломки. В некоторых ситуациях под воздействием конструкции может сломаться зуб. Благодаря протезу минимизируется риск повреждения в процессе использования.
Протезы выполняют эстетическую функцию. Они маскируют сколы и неровности. С их помощью можно избавиться от дисколорита.
Как крепятся коронки на зубы?

Процесс установки зубных коронок состоит из нескольких этапов. Вначале проводится диагностика. Стоматолог определяет допустимость использования протеза. Для осмотра качества каналов и корней назначают рентгенографию. Далее проводится профессиональная чистка зубов. Удаление зубного налета позволяет подобрать максимально похожий на натуральную эмаль цвет.
На следующем этапе препарируются ткани зуба. Врач убирает кариес, обрабатывает и пломбирует каналы. Далее обтачиваются зубы. Далее снимается слепок, и на его основе делается модель. Ортопедическую конструкцию примеряют, после чего окончательно фиксируют.
Зубные коронки могут крепиться разными методами. Цемент обеспечивает надежную сцепку. Этот материал пластичный во время наложения. После застывания становится износостойким. Штифты помогают соединить коронку с корнем, когда зуб значительно поврежден или почти полностью разрушен.
Что нельзя есть с металлокерамическими зубами?
Металлокерамические зубные коронки прочные. Однако к повреждениям может привести употребление очень твердой пищи. К такой относятся сухари, мясные кости, сушки, орехи. Также стоит сократить употребление семечек и леденцов. Желательно не употреблять слишком холодную или горячую еду.
Чем опасны коронки на зубы?
Опасность конструкций зависит от материала. Например, для протезов из никель-хрома или никель-палладия недостатком является сильное окисление. Выделяемые элементы вредны для здоровья. В последние годы в стоматологической практике используют гипоаллергенные и безопасные протезы.
Можно ли ставить металлокерамику на передние зубы?
Металлокерамику можно ставить на передние зубы. Они играют важную роль в процессе кусания пищи, однако не испытывают таких нагрузок, как жевательные. Для реставрации такого типа важно сохранять эстетический внешний вид. Зубные коронки можно подобрать под цвет эмали.
Когда нельзя ставить металлокерамику?
Наиболее распространенным противопоказанием является наличие аллергических реакций. Врач на этапе диагностики спрашивает об этом пациента. Протезы из металлокерамики не выбирают для детей и подростков. До шестнадцати лет зубочелюстная система сформирована неокончательно. Тонкие, хрупкие стенки становятся препятствием для проведения процедуры.
Также причиной отказа может стать неправильный снижающийся прикус и наличие стираемости зубов. Стоматологи выбирают другой способ для реставрации. Временными противопоказаниями считаются воспалительные процессы.
Установка конструкции возможна сразу после лечения заболеваний. Рекомендуется не обращаться к процедуре на первом и третьем триместре беременности.

(2,957)
