Комплексна реабілітація Пацієнтки з четвертою стадією пародонтиту (лікування запущеного пародонтиту All-on-4)

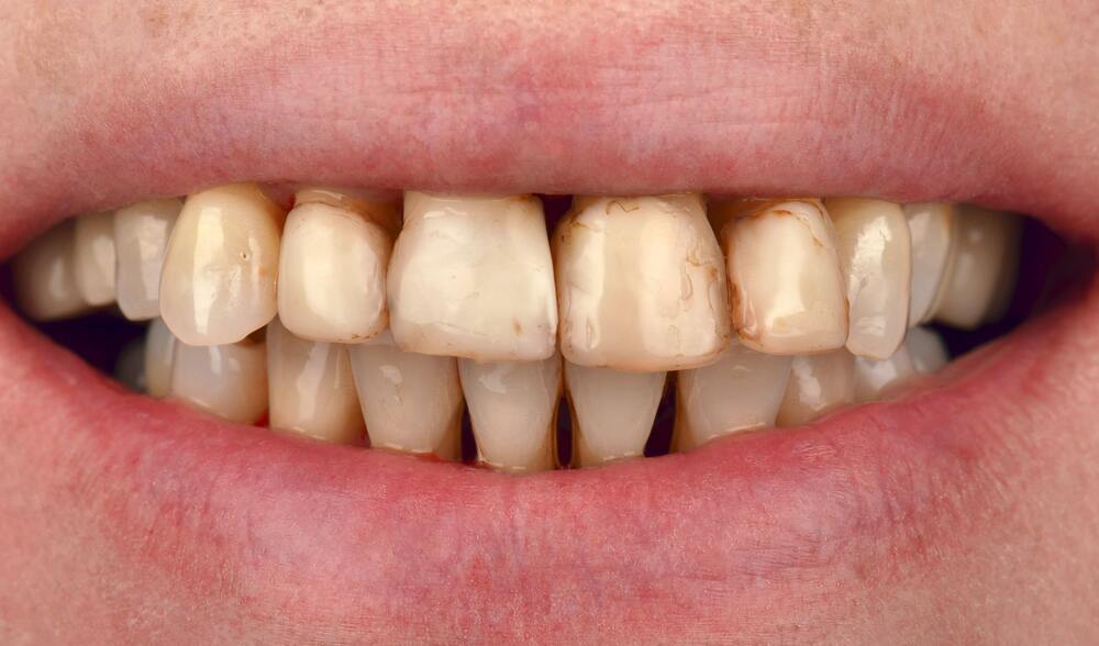
  1. Непростий випадок, де ми зіткнулися з психологічними проблемами, пов'язаними з недовірою Пацієнтки до імплантологічного лікування, страхом видаляти зуби та ризиком "залишитися ні з чим". Більшість зубів були рухливі, спостерігалися абсцеси у проекції кількох зубів, гноєтеча з пародонтальних кишень. Рентгенологічно спостерігалася виражена резорбція кісткової тканини.
  1. Реабілітація розпочалася з комплексного пародонтологічного лікування: інструментальної обробки зубів, професійної гігієни, видалення частини зубів, місцевої та загальної антибактеріальної терапії.
  1. Крок за кроком ми набували кредит довіри у Пацієнтки. Після проведеного пародонтологічного лікування Пацієнтка погодилася на імплантологічну реабілітацію верхньої щелепи за протоколом “all-on-4”. Під седацією їй були видалені всі зуби на верхній щелепі, поставлені 4 імплантати та зафіксовано тимчасові коронки.
  1. Через 2 місяці у передній та бокових ділянках нижньої щелепи провели імплантацію.
  1. Через 2 місяці були виготовлені та зафіксовані цирконієві конструкції на верхній та нижній щелепі з опорою на імплантати. Результат лікування - хороший функціональний і естетичний результат, стабілізація пародонтиту навколо зубів, що залишилися і виправдані надії нашої Пацієнтки.
Непростий випадок, де ми зіткнулися з психологічними проблемами, пов'язаними з недовірою Пацієнтки до імплантологічного …

Непростий клінічний випадок: до нас звернулася Пацієнтка з генералізованим пародонтитом четвертої стадії, вираженою рухливістю більшості зубів і хронічним запаленням ясен. Вона дуже боялася імплантації, не хотіла видаляти зуби і хвилювалася, що після початку лікування може «залишитися ні з чим» – без зубів і без впевненості в результаті.

При огляді ми побачили рухомі зуби, абсцеси в проекції декількох коренів, гноєтечу з пародонтальних кишень і виражену резорбцію кісткової тканини за даними рентгенологічного дослідження. Для подібного випадку важлива не тільки технічна сторона лікування, але і дуже обережна робота з очікуваннями і страхами Пацієнтки.

Етап 1. Контроль запалення і пародонтологічне лікування

Реабілітація почалася з комплексного пародонтологічного етапу. Наша мета – зупинити активний запальний процес, знизити бактеріальне навантаження і підготувати тканини до подальшої імплантації.

В рамках першого етапу ми провели:

  • професійну гігієну ротової порожнини з видаленням зубного каменю і м’якого нальоту;
  • ретельну інструментальну обробку коренів і під’ясенних поверхонь;
  • видалення частини зубів з безнадійним прогнозом;
  • місцеву антибактеріальну терапію в області глибоких пародонтальних кишень;
  • загальну антибактеріальну терапію за показаннями;
  • навчання Пацієнтки індивідуальній гігієні та підбір засобів для домашнього догляду.

Такий підхід повністю відповідає принципам безпечного лікування запущеного пародонтиту: до встановлення імплантів необхідно стабілізувати пародонт, зменшити запалення та оцінити реальний обсяг збереженої кісткової тканини. Тільки на цьому тлі імпланти за протоколом All-on-4 зможуть інтегруватися і служити довго.

Етап 2. Імплантація за протоколом All-on-4 на верхній щелепі

Крок за кроком, в міру поліпшення стану, ми завойовували довіру Пацієнтки. Після завершення пародонтологічного етапу і повторної діагностики вона погодилася на імплантологічну реабілітацію верхньої щелепи за протоколом All-on-4 – оптимальне рішення для пацієнтів з дефіцитом кісткової тканини і запущеним пародонтитом.

Під седацією за один візит були виконані:

  • видалення всіх зубів на верхній щелепі;
  • встановлення чотирьох титанових імплантів (два – у фронтальній зоні, два – під кутом у бічних відділах, де зберіглася достатня товщина кістки);
  • фіксація тимчасового незнімного протеза на цих імплантах.

Такий підхід дозволив:

  • не проводити складну і травматичну кісткову пластику;
  • відразу відновити зовнішній вигляд усмішки і жувальну функцію – Пацієнтка не залишалася без зубів ні на один день;
  • рівномірно розподілити навантаження на імпланти і навколишню кістку, що особливо важливо при вихідній слабкій кістковій опорі.

Саме на цьому етапі лікування запущеного пародонтиту, All-on-4 дає Пацієнту те, що він найбільше боїться втратити: відчуття стабільності та впевненість, що після видалення зубів він одразу отримає функціональний та естетичний результат.

Етап 3. Імплантація та протезування нижньої щелепи

Через два місяці, після адаптації до тимчасової конструкції на верхній щелепі і контролю стану пародонту нижніх зубів, ми провели імплантацію у фронтальному і бічних відділах нижньої щелепи. Планування спиралося на ті ж принципи:

  • встановлення імплантів у зонах з достатнім об’ємом кісткової тканини;
  • врахування оклюзії та майбутнього розподілу навантаження між обома щелепами;
  • збереження максимально можливої стабільності зубів, що залишилися.

Ще приблизно через два місяці, після повноцінної остеоінтеграції імплантів, були виготовлені та зафіксовані постійні цирконієві конструкції на імплантатах на верхній і нижній щелепі. Ці конструкції забезпечують високу міцність, стабільну естетику і комфорт у повсякденному житті.

Фінальний результат реабілітації

В результаті лікування ми отримали:

  • надійно відновлену жувальну функцію;
  • гармонійну, природну усмішку, що відповідає очікуванням Пацієнтки;
  • стабілізацію пародонтиту навколо збережених зубів за рахунок регулярного догляду та контролю;
  • відсутність хронічного запалення та загострень, які раніше супроводжували Пацієнтку роками.

Головне – її сподівання повністю виправдалися: завдяки протоколу All-on-4 і поетапному підходу Пацієнтка на жодному етапі не залишилася «без зубів», а кінцевий результат поєднує естетику, комфорт і довгострокову стабільність.

Часті питання про лікування запущеного пародонтиту All on 4

Чи можна вилікувати четверту стадію пародонтиту без видалення зубів?

На пізніх стадіях пародонтиту найчастіше спостерігається критична втрата кістки і рухливість зубів. Якщо прогноз зубів несприятливий, їх збереження дасть короткий і нестабільний результат. Оптимальний шлях – комплексна реабілітація з контролем запалення і заміною безнадійних зубів на імплантати.

Чи підходить All-on-4 пацієнтам з сильною атрофією кістки?

Так, протокол створений саме для таких ситуацій: імпланти встановлюються під кутом в ділянки, де кістки ще достатньо. У багатьох випадках це дозволяє уникнути кісткової пластики, скорочуючи термін лікування.

Чи залишається пацієнт без зубів після видалення?

Ні. На імпланти фіксується тимчасовий протез відразу в день операції. Пацієнт продовжує нормально спілкуватися і вживати м’яку їжу вже в першу добу.

Скільки часу займає повна реабілітація при запущеному пародонтиті?

Зазвичай 3-5 місяців:

  • контроль запалення, підготовка тканин;
  • імплантація і тимчасова фіксація;
  • остеоінтеграція (2-3 місяці);
  • виготовлення постійних цирконієвих конструкцій.

Чи можна робити All-on-4, якщо є активне запалення ясен?

Ні. Спочатку обов’язково проводиться пародонтологічне лікування – чистка, обробка кишень, антибактеріальна терапія. Тільки після стабілізації тканин імплантація буде безпечною і прогнозованою.

Поширити: